症例写真(No.132138)
当院の症例写真は、画像処理により形や大きさをかえるような処理は一切おこなっておりません。
大野津介 医師
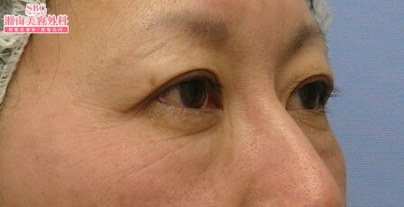
No.132138【若返り】切らない目の下のタルミ取り+コンデンスリッチフェイス 脳神経外科専門医Dr.大野執刀 疲れてみえる、目の下のクマが気になるのは、脂肪が原因になっている人が多いんですよ。取ればスッキリしますよ。 目の下の窪みには御自身の濃縮脂肪を入れることで、安心・自然な仕上がりになります。
すべての画像を見る
施術した院
部位
施術
施術回数
数量
性別




施術担当者からのコメント