症例写真(No.137540)
当院の症例写真は、画像処理により形や大きさをかえるような処理は一切おこなっておりません。
名倉俊輔 医師
No.137540【若返り】◆◆ 名倉が叶える−5歳!!切らない目の下のたるみ取り+FGF療法(目の下)+マイクロカニューレ◆◆目の下のぷっくり、クマでお悩みの方必見!!NO、66症例 1週間後のお写真です!!
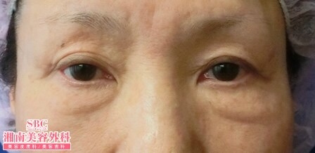
施術前
お手術前のお写真です!目の下のふくらみがかなりあり、たるんで見える印象をどうにかしたい!とのことで、僕の元へお越しになりました。 目の下は切開法もございますが、傷痕がない施術をご希望でしたので切らない目の下のたるみ取りをご案内させていただきました。まずは目の下のぷっくりの原因の眼窩脂肪を除去するご案内させていただきました。
すべての画像を見る
施術した院
部位
施術
施術回数
数量
性別



施術担当者からのコメント