症例写真(No.153109)

当院の症例写真は、画像処理により形や大きさをかえるような処理は一切おこなっておりません。

名倉俊輔 医師

No.153109【若返り】◆◆ 名倉が叶える−5歳!!切らない目の下のたるみ取り+SBCリッチフェイス法(目の下)+肌再生FGF注入療法◆◆目の下のぷっくり、クマでお悩みの方必見!!NO、81症例

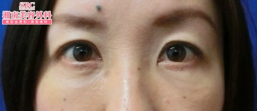
施術前

目の下のふくらみが気になっているとお悩みでした。
→

施術後1週間後

腫れや内出血が少し出ていますが目立たなくなりますよ。
すべての画像を見る

施術した院

部位

施術

施術回数

数量

性別

施術担当者からのコメント

あなたの為に全力執刀!!


美マイスター名倉が叶える

美脚 小顔 マシュマロバスト 魅せる瞳



私名倉は町田院にて、日々美容医療に全力で取り組ませていただいております。



皆様が笑顔になり幸せになれるように、私の知識と技術を用いられれば、
私にとっても幸せなことです。
お悩みの事をなんでもご相談ください。
皆様が笑顔になれるよう、まず私が笑顔でお迎えしますね。



『目の下のふくらみが気になっている!』


とのご要望で、私名倉にご相談いただきました。



写真は、40代後半女性
 
≪切らない目の下のたるみ取り+SBCリッチフェイス法(目の下)+肌再生FGF注入療法≫


を受けていただいた方の、経過のお写真です。

この施術では表面の皮膚を切らず、表面から見えない粘膜から、クマの原因となっている脂肪組織をくぼんだ部分に移動させ、クマを解消します。下まぶたの裏側(結膜側)を切開するので、表面に傷が残りません。ふくらみや皮膚の余りが少ない方におすすめです。

私名倉に希望の目元を伝えて頂ければ、
思い通りの施術で御満足いただけます!!
≪切らない目の下のたるみ術、裏ハムラ法、二重術、目頭切開≫

は、私名倉に、お任せ下さい!



×

当院におけるワクチン接種後の治療間隔(ガイドライン)

美容皮膚科、美容外科小手術

前後3日(手術日は含まず)、自覚する副反応がなければ可
安心麻酔を使用するものは接種後1週間は空ける

美容外科中、大手術

前後1週間
副反応が残っている場合は延期
接種部位と手術部位が同じ場合は2週間は空ける

×

お急ぎの方はお電話ください

0120-489-100

受付時間 / 10:00~23:00