症例写真(No.185767)

当院の症例写真は、画像処理により形や大きさをかえるような処理は一切おこなっておりません。

名倉俊輔 医師

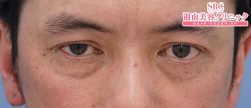
No.185767【若返り】◆◆ 名倉が叶える−5歳!!目の下の切らないたるみ取り◆◆目の下のぷっくり、クマでお悩みの方必見!!NO、106症例 1ヵ月後のお写真です!!

施術前

『目の下のふくらみをどうにかしたい』とのご相談でした。
→

施術後1ヶ月後

目元のたるみが無くなり、若々しくなりましたね^^
すべての画像を見る

施術した院

部位

施術

施術回数

数量

性別

施術担当者からのコメント

あなたの為に全力執刀!!


日本美容外科学会認定専門医の 名倉が叶える

目元 若返り 小顔輪郭 鼻 を専門にしています。

私名倉は秋葉原院にて、日々美容医療に全力で取り組ませていただいております。

・若返りに関しては『実の母親の若返り手術』に挑戦し、非常に若々しくなった経過がHP・ブログで紹介されています。

・小顔に関してはバッカルファット・脂肪吸引など年間200症例以上を担当し湘南美容外科トップの症例数となっています。(2017.11)

・目周りと鼻に関しては優秀症例賞を多数獲得しております。

皆様が笑顔になり幸せになれるように、私の知識と技術を用いられれば、
私にとっても幸せなことです。
お悩みの事をなんでもご相談ください。
皆様が笑顔になれるよう、まず私が笑顔でお迎えしますね。



『目の下のふくらみをどうにかしたい』

とのお悩みで、私名倉にご相談いただきました。


写真は、40代前半男性
 
≪目の下の切らないたるみ取り≫


を受けていただいた方の、経過のお写真です。

目の下の切らないたるみ取りとは、
目の下の脂肪を、お顔表面を切らずに除去可能な若返り法です。

私名倉に希望の目元を伝えて頂ければ、
思い通りの施術で御満足いただけます!!

≪目の下の切らないたるみ取り≫

は、私名倉に、お任せ下さい!


★★★Instagramやっています★★★
Instaでは沢山の症例を載せております!
ぜひチェックしてみてください!

@dr_nagura
@kuma.nagu
@futae.nagu
@kogao.nagu

★下の『Instagram』アイコンからも飛べます★



×

当院におけるワクチン接種後の治療間隔(ガイドライン)

美容皮膚科、美容外科小手術

前後3日(手術日は含まず)、自覚する副反応がなければ可
安心麻酔を使用するものは接種後1週間は空ける

美容外科中、大手術

前後1週間
副反応が残っている場合は延期
接種部位と手術部位が同じ場合は2週間は空ける

×

お急ぎの方はお電話ください

0120-489-100

受付時間 / 10:00~23:00