症例写真(No.189111)

当院の症例写真は、画像処理により形や大きさをかえるような処理は一切おこなっておりません。

湘南美容クリニック 医師

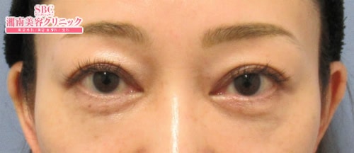
No.189111【若返り】切らない目の下のたるみ取り症例数全国No.1!ご希望に必ずお答えします!ご相談ください♪

施術前

術前 両目ともに目の下のたるみが気になりますね!
→

施術後1ヶ月後

1か月後 ここまでスッキリ若々しい印象になりましたね♪
すべての画像を見る

施術した院

部位

施術

施術回数

数量

性別

施術担当者からのコメント



×

当院におけるワクチン接種後の治療間隔(ガイドライン)

美容皮膚科、美容外科小手術

前後3日(手術日は含まず)、自覚する副反応がなければ可
安心麻酔を使用するものは接種後1週間は空ける

美容外科中、大手術

前後1週間
副反応が残っている場合は延期
接種部位と手術部位が同じ場合は2週間は空ける