症例写真(No.212199)

当院の症例写真は、画像処理により形や大きさをかえるような処理は一切おこなっておりません。

赤尾健 医師

No.212199【若返り】【クマ治療】【ナノリッチ脂肪注入】モニター人気ランキング全国1位、慶應医学部卒・アメリカ帰りのDr.赤尾による緻密に計算されたクマ治療・若返り術

施術前

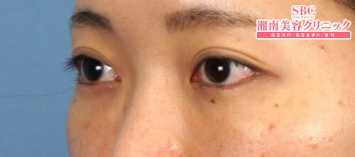
目の下のクマとゴルゴ線を気にされていたお客様。
→

施術後1ヶ月後

いままでのお悩みを1日で解決!!
すべての画像を見る

施術した院

部位

施術

施術回数

数量

性別

施術担当者からのコメント

20代女性のお客様です。
手術1ヶ月後の写真です。

この方は目の下のクマ・たるみに悩まれていました。
クマや目の下のたるみは元気なく見えたり、老けて見えたりしますね。

クマには3種類あります。
1.目の下の脂肪のたるみ:黒いクマ
2.血流不足:青いクマ
3.色素沈着によるクマ

この方のように目の下に「ポコっと」した脂肪のたるみが原因の方のクマは手術でなくすことができます。
クマは脂肪のところにできた「山」、その下の溝による「谷」、頬による「山」のコントラストが原因でさらに強調されます。

これらを解消するために「目の下の切らないたるみ取り」で上の山を解消し、
谷のところに「リッチフェイス(脂肪注入法)」で埋めることで一番綺麗に仕上がります。

腫れ・内出血・傷跡などのダウンタイムがあまり取れないということで「目の下の切らないたるみ取り」、
脂肪から極少量しか取れない研ぎ澄まされた良質な幹細胞と
小さな脂肪からなる不純物の少ない極小脂肪を注入するナノリッチ脂肪注入の2つを選択されました。

クマやくぼみは元気なく見えたり、老けて見えたりしますよね。

手術1ヶ月後ですが、大きな左右差・腫れ・内出血もなく、非常に綺麗に仕上がっています。
とても若々しく見えませんか?
傷跡も全くなく、手術したのがバレません!!

執刀医 柏院院長 赤尾健

★★★★話題のインスタグラムはコチラ★★★★

アカウント:@sbc_akao

症例写真多数掲載!是非ご参考にしてください!

▼▼下の*ドクター関連リンク*の▼▼
▼▼ 【instagram】 から飛べます ▼▼



×

当院におけるワクチン接種後の治療間隔(ガイドライン)

美容皮膚科、美容外科小手術

前後3日(手術日は含まず)、自覚する副反応がなければ可
安心麻酔を使用するものは接種後1週間は空ける

美容外科中、大手術

前後1週間
副反応が残っている場合は延期
接種部位と手術部位が同じ場合は2週間は空ける