症例写真(No.217560)

当院の症例写真は、画像処理により形や大きさをかえるような処理は一切おこなっておりません。

赤尾健 医師

No.217560【若返り】【柏院】【コンデンスリッチフェイス脂肪注入】【ナノリッチ】モニター人気ランキング全国1位、慶應医学部卒 x ハーバード大学医学部・アメリカ帰りのDr.赤尾による緻密に計算された脂肪注入術

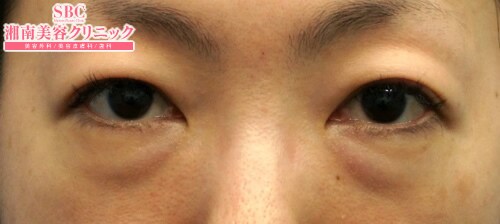
施術前

目の下のクマに悩まれていました。
→

施術後1ヶ月後

たるみによってできていた影も見えにくくなりました!
すべての画像を見る

施術した院

部位

施術

施術回数

数量

性別

施術担当者からのコメント

ご紹介するお客様は30代女性の方です。
手術前と手術1ヶ月後の比較写真になります。

今回は、クマが気になってご来院されたお客様です。
クマに悩まれている方が世の中たくさんいますが、皆様寝不足や疲れによる青クマだと勘違いされてる方がかなり多いです!
ただ、実は圧倒的にこの写真のようなまぶたの下の脂肪のたるみが原因の方がほとんどです。

施術は「目の下の切らないたるみ取り」「ナノリッチ」「コンデンスリッチ(脂肪注入)」を行いました。
お目元周りのたるみは、目の下の切らないたるみ取りと、脂肪から極少量しか取れない研ぎ澄まされた良質な幹細胞と
小さな脂肪からなる不純物の少ない極小脂肪を注入するナノリッチ脂肪注入を行いました。

手術1ヶ月後の写真をご覧ください。
たるみによってできていた影も見えにくくなり、とても綺麗で元気な目元になられましたね!

私は美容医療で外見が変わることで自信を持ち、自信のある表情から周りの評価が変化し、好循環を生むことを信じて毎日全力で美容医療に取り組んでいます。

脂肪注入法はモニターランキング全国No.1の赤尾にお任せください!!

執刀医 柏院院長 赤尾健

★★★★話題のインスタグラムはコチラ★★★★

アカウント:@sbc_akao

症例写真多数掲載!是非ご参考にしてください!

▼▼下の*ドクター関連リンク*の▼▼
▼▼ 【instagram】 から飛べます ▼▼



×

当院におけるワクチン接種後の治療間隔(ガイドライン)

美容皮膚科、美容外科小手術

前後3日(手術日は含まず)、自覚する副反応がなければ可
安心麻酔を使用するものは接種後1週間は空ける

美容外科中、大手術

前後1週間
副反応が残っている場合は延期
接種部位と手術部位が同じ場合は2週間は空ける