症例写真(No.232667)

当院の症例写真は、画像処理により形や大きさをかえるような処理は一切おこなっておりません。

高橋淳 医師

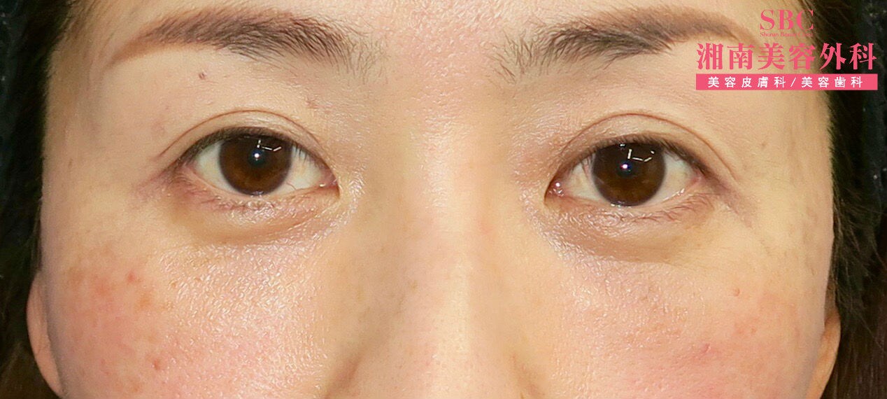
No.232667【若返り】【目の下の切らないたるみ取り+ナノリッチ】千葉症例数No,1 千葉センシティ院院長 高橋による若返り術!!老けた顔に見える原因となるクマ…その原因である眼窩脂肪を、表からは見えない下まぶたの裏側(経結膜的アプローチ)から除去しました。

施術前

目のたるみが目立ちます。
→

施術後1ヶ月後

たるみが減り若返っていますね
すべての画像を見る

施術した院

部位

施術

施術回数

数量

性別

施術担当者からのコメント

フォトギャラリーをご覧頂きありがとうございます!

お客様は目の下のクマに長年悩んでいらっしゃいました。
術後は目の下のふくらみがすっかりとれて目元がすっきりとして若返りました!

【目の下の切らないたるみとり】は傷が結膜なので、周囲にばれることなく
さらに【ナノリッチ】で凹凸をなめらかにしたため自然な仕上がりになります。
お客様にも長年の悩みから解放されたと喜んでいただきました!

目のクマでお悩みの方はお気軽にご相談下さい!

私高橋は
・自然なデザイン
・最小限のダウンタイム
・無痛手術
にこだわっております!
是非、お気軽にご相談下さい。
千葉センシティ院 ?0120-955-559

現在、千葉センシティ院では、大変お得なモニター様を募集しておりますので、ぜひご利用下さい。
期間限定・人数限定の格安モニター
もありますのでお見逃しなく!

★★instagramやってます★★
instaの方ではより詳しく&沢山の症例写真を載せています!
是非チェックしてみて下さい♪
@sbc_takahashi_j
≪↓↓下の「instagram」アイコンから飛べます↓↓≫☆followme☆

湘南美容外科 千葉センシティ院 ?0120-955-559



×

当院におけるワクチン接種後の治療間隔(ガイドライン)

美容皮膚科、美容外科小手術

前後3日(手術日は含まず)、自覚する副反応がなければ可
安心麻酔を使用するものは接種後1週間は空ける

美容外科中、大手術

前後1週間
副反応が残っている場合は延期
接種部位と手術部位が同じ場合は2週間は空ける