美容外科・美容皮膚科・審美歯科なら湘南美容クリニック
電話予約・電話問い合わせ 10:00~22:45対応 番号を通知してお電話ください 0120-489-100
Instagram
LINE
YouTube
公式アプリ
美容皮膚科
あなたに最適な美容メンテナンスをサポートします!
二重整形
これを見たらあなたも思わず二重にしたくなる♡
医療ダイエット
医療ダイエットをしたらマイナス何センチ?リアルな結果を発信中!
若返り
年齢別・お悩み別で「今やるべき美容医療」がわかる美容医療メディア
クマ取り
クマ取り失敗したくない方必見!成功の秘訣満載★
脂肪吸引
美は武器!夜職女性のための美の総合メディア
予約・お問い合わせ
美容外科 MENU
Language
メインメニュー
診療内容一覧
料金一覧
クリニック案内
ドクター一覧
モニター募集
症例写真
よくある質問
当院が選ばれる理由
当院の症例写真は、画像処理により形や大きさをかえるような処理は一切おこなっておりません。
本田賢治 医師
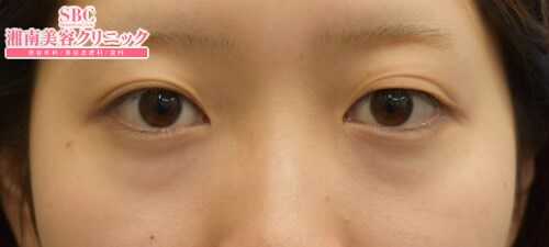
施術前
施術後1ヶ月後
施術した院
部位
施術
施術回数
数量
性別
美容医療の口コミ広場(東京都)、クマ取り部門で口コミ1位の実力★フォトギャラリーをご覧頂きありがとうございます。JSAS美容外科専門医で湘南美容クリニック技術指導医、八王子院院長の本田です。クマとたるみを改善したいお客様です。眼窩脂肪が中程度存在し、中顔面位置は下がって平坦、影グマ主体のたるみを認めます。経結膜脱脂である「目の下の切らないたるみ取り」と、深い皮下層への「コンデンスリッチ注入」、浅い皮下層へ「ナノリッチ注入」を併用しました。皮膚ハリを維持したまま、目元の輪郭を綺麗に再構築しました。皮膚は薄いことを考慮し、ほどほどの脱脂に留め、ナノリッチで皮膚をサポートしました。中顔面ボリュームの不足に対して、コンデンスリッチ注入をしっかり施し、目元位置を高く形成しています。術前→1か月目と、ダウンタイムは軽快し、綺麗に仕上がりました。お客様にも、大満足頂けました。インスタグラムでは、私のクマ取り全症例写真を詳しくご覧頂けます。アメブロでは、症例の手術内容や理論を詳しく説明しております。興味ある方は、ぜひそちらもご覧頂ければ幸いです。
施術担当者からのコメント
美容医療の口コミ広場(東京都)、クマ取り部門で口コミ1位の実力★
フォトギャラリーをご覧頂きありがとうございます。
JSAS美容外科専門医で湘南美容クリニック技術指導医、八王子院院長の本田です。
クマとたるみを改善したいお客様です。眼窩脂肪が中程度存在し、中顔面位置は下がって平坦、影グマ主体のたるみを認めます。経結膜脱脂である「目の下の切らないたるみ取り」と、深い皮下層への「コンデンスリッチ注入」、浅い皮下層へ「ナノリッチ注入」を併用しました。皮膚ハリを維持したまま、目元の輪郭を綺麗に再構築しました。皮膚は薄いことを考慮し、ほどほどの脱脂に留め、ナノリッチで皮膚をサポートしました。中顔面ボリュームの不足に対して、コンデンスリッチ注入をしっかり施し、目元位置を高く形成しています。術前→1か月目と、ダウンタイムは軽快し、綺麗に仕上がりました。お客様にも、大満足頂けました。
インスタグラムでは、私のクマ取り全症例写真を詳しくご覧頂けます。アメブロでは、症例の手術内容や理論を詳しく説明しております。興味ある方は、ぜひそちらもご覧頂ければ幸いです。