症例写真(No.236655)

当院の症例写真は、画像処理により形や大きさをかえるような処理は一切おこなっておりません。

佐々木信吉 医師

No.236655【若返り】【福島院院長】佐々木Dr. 『目の下の切らないたるみとり』+『コンデンスリッチフェイス(脂肪注入)』

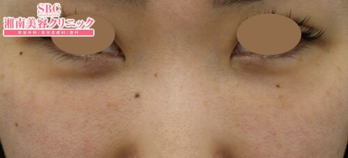
施術前

目の下のふくらみが目立ちます
→

施術後1ヶ月後

目の下がフラットになりました
すべての画像を見る

施術した院

部位

施術

施術回数

数量

性別

施術担当者からのコメント

目の下のクマに悩まされているお客様でした。

膨らみ・凹みを改善することで、目の下のクマ感がとても軽減されました★

ご相談お待ちしております。



×

当院におけるワクチン接種後の治療間隔(ガイドライン)

美容皮膚科、美容外科小手術

前後3日(手術日は含まず)、自覚する副反応がなければ可
安心麻酔を使用するものは接種後1週間は空ける

美容外科中、大手術

前後1週間
副反応が残っている場合は延期
接種部位と手術部位が同じ場合は2週間は空ける

×

お急ぎの方はお電話ください

0120-489-100

受付時間 / 10:00~23:00