症例写真(No.246387)

当院の症例写真は、画像処理により形や大きさをかえるような処理は一切おこなっておりません。

藤巻直人 医師

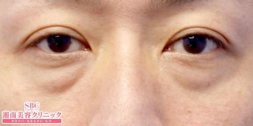
No.246387【若返り】【目の下の切らないクマ・たるみ(ふくらみ)取り+ナノリッチ】下まぶたの内側から余分な脂肪を除去し、そこに他部から採取した自分の脂肪を注入して若返り!糸のリフトアップでの若返りも!糸のリフトアップ期間限定で特価モニター募集中!【No-982】

施術前

目の下のクマ・たるみのせいで疲れ顔に見えるのが悩みとのことでした
→

施術後1ヶ月後

男性も目の下のクマ・たるみを解消してパッと明るい印象に♪ 脱疲れ顔!
すべての画像を見る

施術した院

部位

施術

施術回数

数量

性別

施術担当者からのコメント

★☆ シュッキリしましょうDrふじまき ☆★

Drふじまきはたるみ治療を得意としています。
たるみ、ほうれい線、フェイスライン、目の下のクマからシュッキリ!した症例は下記インスタグラムへ!

プリマリフトは限定特価でモニター様を募集中です!
お電話で直接お問い合わせくださいませ。

Drふじまき@藤沢院長
ご来院の9割の方が症例写真で選んで頂いております。是非、症例写真、ブログを見てください!

☆Drふじまきの美人ライン?フェイスライン?☆
普段シワ1本から対応する繊細Drが美フェイスラインをつくると…
各種注入『脂肪注入(フィラーゲラー、コンデンスリッチ、リッチフェイス)』『ヒアルロン酸』でお休みなく即日!
リフトアップ『小顔若返りリフト、ばれないリフト、シルキーリフト』
脂肪吸引『ライポマティック、ベイザー、美ボディ』
ご来院の9割の方が症例写真で選んで頂いております

美人ライン(フェイスライン、輪郭、額、アゴ)を検討の方は、Drふじまきにご相談ください。
圧倒的なコスパで施術します!

《無料カウンセリング》はコチラ
藤沢院 0120-548-907

《モニター募集を見る》写真に協力してお得に施術を受けましょう♪各種限定モニターあり
最大80%オフ!?顔出しモニターを限定募集中!下記のモニター募集へ

《症例写真》各種美容治療の before→after 集

《SBCドクターブログ》詳しく知りたい方へDrふじまきの美人ラインブログ
『キレイな目元ができるまで』埋没、切開、たるみ取り、下垂など
『キレイな美ボディができるまで』部分痩せ、豊胸など
『キレイな美フェイスができるまで』美人ライン、若返り、小顔、注射系、レーザー系など

《Instagramインスタグラム》ぜひフォローください!
施術症例からプライベートまで・囚・b



×

当院におけるワクチン接種後の治療間隔(ガイドライン)

美容皮膚科、美容外科小手術

前後3日(手術日は含まず)、自覚する副反応がなければ可
安心麻酔を使用するものは接種後1週間は空ける

美容外科中、大手術

前後1週間
副反応が残っている場合は延期
接種部位と手術部位が同じ場合は2週間は空ける