美容外科・美容皮膚科・審美歯科なら湘南美容クリニック
電話予約・電話問い合わせ 10:00~22:45対応 番号を通知してお電話ください 0120-489-100
Instagram
LINE
YouTube
公式アプリ
美容皮膚科
あなたに最適な美容メンテナンスをサポートします!
二重整形
これを見たらあなたも思わず二重にしたくなる♡
医療ダイエット
医療ダイエットをしたらマイナス何センチ?リアルな結果を発信中!
若返り
年齢別・お悩み別で「今やるべき美容医療」がわかる美容医療メディア
クマ取り
クマ取り失敗したくない方必見!成功の秘訣満載★
脂肪吸引
美は武器!夜職女性のための美の総合メディア
予約・お問い合わせ
美容外科 MENU
Language
メインメニュー
診療内容一覧
料金一覧
クリニック案内
ドクター一覧
モニター募集
症例写真
よくある質問
当院が選ばれる理由
当院の症例写真は、画像処理により形や大きさをかえるような処理は一切おこなっておりません。
赤尾健 医師
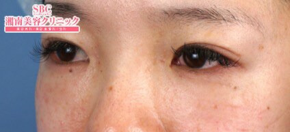
施術前
施術後1ヶ月後
施術した院
部位
施術
施術回数
数量
性別
ご紹介するお客様は20代女性の方です。手術前と手術1ヶ月後の比較写真になります。今回は、アラサーになり疲れた印象に見える目元を若返らせたいとご来院されたお客様。クマに悩まれている方が世の中たくさんいますが、皆様寝不足や疲れによる青クマだと勘違いされてる方がかなり多いです!ただ、実は圧倒的にこの写真のようなまぶたの下の脂肪のたるみが原因の方がほとんどです。お目元周りのたるみは、目の下の切らないたるみ取りを行い、目の下からゴルゴ線にかけては脂肪から極少量しか取れない研ぎ澄まされた良質な幹細胞と小さな脂肪からなる不純物の少ない極小脂肪を注入するナノリッチ脂肪注入を行いクマを解消しました。手術1ヶ月後の写真をご覧ください。お悩みのクマが解消されて疲れた印象から若々しい目元に戻り、お客様に大変ご満足いただけました。手術直後・手術1週間後・1ヶ月後の症例写真も掲載していますので是非ご覧ください。私は美容医療で外見が変わることで自信を持ち、自信のある表情から周りの評価が変化し、好循環を生むことを信じて毎日全力で美容医療に取り組んでいます。脂肪注入法はモニターランキング全国No.1の赤尾にお任せください!!執刀医 柏院院長 赤尾健★★★★話題のインスタグラムはコチラ★★★★アカウント:@sbc_akao症例写真多数掲載!是非ご参考にしてください!▼▼下の*ドクター関連リンク*の▼▼▼▼ 【instagram】 から飛べます ▼▼
施術担当者からのコメント
ご紹介するお客様は20代女性の方です。
手術前と手術1ヶ月後の比較写真になります。
今回は、アラサーになり疲れた印象に見える目元を若返らせたいとご来院されたお客様。
クマに悩まれている方が世の中たくさんいますが、皆様寝不足や疲れによる青クマだと勘違いされてる方がかなり多いです!
ただ、実は圧倒的にこの写真のようなまぶたの下の脂肪のたるみが原因の方がほとんどです。
お目元周りのたるみは、目の下の切らないたるみ取りを行い、
目の下からゴルゴ線にかけては脂肪から極少量しか取れない研ぎ澄まされた良質な幹細胞と
小さな脂肪からなる不純物の少ない極小脂肪を注入するナノリッチ脂肪注入を行いクマを解消しました。
手術1ヶ月後の写真をご覧ください。
お悩みのクマが解消されて疲れた印象から若々しい目元に戻り、お客様に大変ご満足いただけました。
手術直後・手術1週間後・1ヶ月後の症例写真も掲載していますので是非ご覧ください。
私は美容医療で外見が変わることで自信を持ち、自信のある表情から周りの評価が変化し、好循環を生むことを信じて毎日全力で美容医療に取り組んでいます。
脂肪注入法はモニターランキング全国No.1の赤尾にお任せください!!
執刀医 柏院院長 赤尾健
★★★★話題のインスタグラムはコチラ★★★★
アカウント:@sbc_akao
症例写真多数掲載!是非ご参考にしてください!
▼▼下の*ドクター関連リンク*の▼▼
▼▼ 【instagram】 から飛べます ▼▼