症例写真(No.257507)

当院の症例写真は、画像処理により形や大きさをかえるような処理は一切おこなっておりません。

大野津介 医師

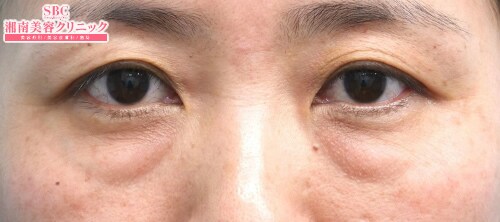
No.257507【若返り】脳神外科専門医Dr.大野執刀 【目の下の切らないたるみ取り+コンデンスリッチフェイス法(目の下~ゴルゴ線)】老けて見えるゴルゴ線は、脂肪を注入することでふっくら若返りますよ!【施術後1週間経過/化粧なし】

施術前

施術前
→

施術後1週間後

お化粧していない状態です
すべての画像を見る

施術した院

部位

施術

施術回数

数量

性別

施術担当者からのコメント

目の下の切らないたるみ取り+コンデンスリッチフェイス(目の下~ゴルゴ線)お受けになられたお客様です。
こちらは施術前・施術後1週間経過したのお写真です。

【目の下の切らないたるみ取りとは】
目の下の脂肪を、お顔表面を切らずに除去可能な若返り法です。

・表面を切らずに除去可能
・生き生きとした目元に!
・短時間の施術
・傷跡が残らない
・術後のダウンタイムが少ない
目の下の切らないたるみ取りにはこんなに良い事があります!
お悩みなら是非カウンセリングにお越しください!

【コンデンスリッチフェイス法とは】
ご自分の脂肪を注入することで、注入箇所にハリと潤いを蘇らせ
ふっくらとして丸みを帯びた健康的な素顔を形成することができます。
また採取した脂肪は、遠心分離にかけ、コンデンス(濃縮)技術で不純物を除去
健全な濃縮脂肪細胞=コンデンスリッチファット(CRF) だけを注入するため
高い定着率を実現し、吸引した脂肪を最大限に活かせる若返り法です。

若返り術を最も得意とする大野医師に
何でも相談してくださいね^^
モニター様も募集中です
皆様のご予約をお待ちしております!!

【instagram毎日更新中】
@onoshinsuke_sbc
インスタグラムではリアルタイムで沢山の症例写真や
施術動画をあげています!
≪下の「instagram」アイコンからも飛べます≫
若返り治療を最も得意とする大野医師に
是非お任せください!!



×

当院におけるワクチン接種後の治療間隔(ガイドライン)

美容皮膚科、美容外科小手術

前後3日(手術日は含まず)、自覚する副反応がなければ可
安心麻酔を使用するものは接種後1週間は空ける

美容外科中、大手術

前後1週間
副反応が残っている場合は延期
接種部位と手術部位が同じ場合は2週間は空ける

×

お急ぎの方はお電話ください

0120-489-100

受付時間 / 10:00~23:00