症例写真(No.258213)

当院の症例写真は、画像処理により形や大きさをかえるような処理は一切おこなっておりません。

大野津介 医師

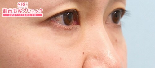
No.258213【若返り】脳神外科専門医Dr.大野執刀 【目の下の切らないたるみ取り+コンデンスリッチ+ナノリッチ(目の下~ゴルゴ線)】老けて見えるゴルゴ線は、脂肪を注入することでふっくら若返りますよ!【施術直後】

施術前

施術前
→

施術後術直後

施術直後です
すべての画像を見る

施術した院

部位

施術

施術回数

数量

性別

施術担当者からのコメント

目の下の切らないたるみ取り+コンデンスリッチ+ナノリッチ(目の下~ゴルゴ線)をお受けになられたお客様です。
施術前・施術直後のお写真です。

【目の下の切らないたるみ取りとは】
目の下の脂肪を、お顔表面を切らずに除去可能な若返り法です。

・表面を切らずに除去可能
・生き生きとした目元に!
・短時間の施術
・傷跡が残らない
・術後のダウンタイムが少ない
目の下の切らないたるみ取りにはこんなに良い事があります!

【ナノリッチとは】
ナノリッチは、新しい脂肪幹細胞治療です。
脂肪組織の硬い線維質を極限まで除去し、
非常に滑らかな、美しい仕上がりを約束します。
お顔で不足したボリュームを補うだけでなく、
肌質やシワ自体も改善する、画期的な治療です。
☆こんな方におすすめ☆
・顔のシワを目立たなくしたい人
・目の下のクマやたるみを目立たなくしたい人
・最近見た目が老けたと思っている人
・ヒアルロン酸や脂肪注入経験のある人
・効果を長持ちさせたい人

若返り術を最も得意とする大野医師に
何でも相談してくださいね^^
モニター様も募集中です
皆様のご予約をお待ちしております!!



×

当院におけるワクチン接種後の治療間隔(ガイドライン)

美容皮膚科、美容外科小手術

前後3日(手術日は含まず)、自覚する副反応がなければ可
安心麻酔を使用するものは接種後1週間は空ける

美容外科中、大手術

前後1週間
副反応が残っている場合は延期
接種部位と手術部位が同じ場合は2週間は空ける

×

お急ぎの方はお電話ください

0120-489-100

受付時間 / 10:00~23:00