症例写真(No.264485)

当院の症例写真は、画像処理により形や大きさをかえるような処理は一切おこなっておりません。

長谷川裕之 医師

No.264485【若返り】連日予約殺到のパーフェクトクマ取り!【ベテランの経験値と技術力】【圧倒的症例数&信頼の実績】お顔を傷つけずにお目元若返り!「目の下の切らないクマ・たるみ取り」で老け見えの原因・クマとさよならして明るく若々しい印象に♪

施術前

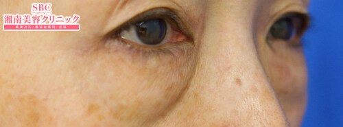
大きなたるみのせいで老け顔、疲れ顔に見えてしまうお客様
→

施術後1ヶ月後

目の下がすっきりし一気に明るく若々しい印象に♪
すべての画像を見る

施術した院

部位

施術

施術回数

数量

性別

施術担当者からのコメント

見た目年齢マイナス10歳!仕上がりの美しさにこだわるベテラン長谷川院長のクマ取り
【今なお銀座セレブに指名され続ける実力】ご指名多数!!4年間の札幌院院長、4年間の銀座院院長を経て、横浜院院長に抜擢された「グッドデザインDr.」こと長谷川医師の洗練されたデザインセンスと技術力で印象年齢マイナス10歳! モニター募集は下の関連リンクから応募できますので、ご利用くださいませ♪



×

当院におけるワクチン接種後の治療間隔(ガイドライン)

美容皮膚科、美容外科小手術

前後3日(手術日は含まず)、自覚する副反応がなければ可
安心麻酔を使用するものは接種後1週間は空ける

美容外科中、大手術

前後1週間
副反応が残っている場合は延期
接種部位と手術部位が同じ場合は2週間は空ける

×

お急ぎの方はお電話ください

0120-489-100

受付時間 / 10:00~23:00