美容外科・美容皮膚科・審美歯科なら湘南美容クリニック
電話予約・電話問い合わせ 10:00~22:45対応 番号を通知してお電話ください 0120-489-100
Instagram
LINE
YouTube
公式アプリ
美容皮膚科
あなたに最適な美容メンテナンスをサポートします!
二重整形
これを見たらあなたも思わず二重にしたくなる♡
医療ダイエット
医療ダイエットをしたらマイナス何センチ?リアルな結果を発信中!
若返り
年齢別・お悩み別で「今やるべき美容医療」がわかる美容医療メディア
クマ取り
クマ取り失敗したくない方必見!成功の秘訣満載★
脂肪吸引
美は武器!夜職女性のための美の総合メディア
予約・お問い合わせ
美容外科 MENU
Language
メインメニュー
診療内容一覧
料金一覧
クリニック案内
ドクター一覧
モニター募集
症例写真
よくある質問
当院が選ばれる理由
当院の症例写真は、画像処理により形や大きさをかえるような処理は一切おこなっておりません。
岩間晋 医師
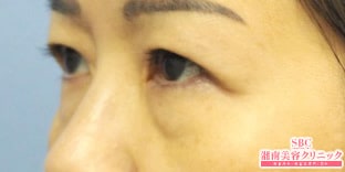
施術前
施術後1週間後
施術した院
部位
施術
施術回数
数量
性別
麻酔科認定医 標榜医による痛みの少ない治療を目指してます!【切らない目の下のたるみ取り】+【ナノリッチ】!!〈目の下のクマ治療〉目の下のたるみ取りを行うことにより10歳くらいの若返りが可能です。手術の跡は、まぶたの裏側ですので、お顔表面に傷が残らないのも特徴です。また、「目の下の切らないたるみ取り」と「脂肪注入」を同時に行うことで、相乗効果が発揮され、目の下が非常に若返ります。人それぞれ膨らみ方は異なります。お目元に合わせて最善のご提案をさせて頂きます。こだわりの若返りをご希望の方は町田院 院長 岩間までご相談ください!★ご予約は下記フリーダイヤルまで町田院TEL:0120-489-820★岩間専用Instagramもご覧くださいInstagram:sbc_iwamas
施術担当者からのコメント
麻酔科認定医 標榜医による痛みの少ない治療を目指してます!
【切らない目の下のたるみ取り】+【ナノリッチ】!!
〈目の下のクマ治療〉
目の下のたるみ取りを行うことにより10歳くらいの若返りが可能です。
手術の跡は、まぶたの裏側ですので、お顔表面に傷が残らないのも特徴です。
また、「目の下の切らないたるみ取り」と「脂肪注入」を同時に行うことで、相乗効果が発揮され、目の下が非常に若返ります。
人それぞれ膨らみ方は異なります。お目元に合わせて最善のご提案をさせて頂きます。
こだわりの若返りをご希望の方は町田院 院長 岩間までご相談ください!
★ご予約は下記フリーダイヤルまで
町田院TEL:0120-489-820
★岩間専用Instagramもご覧ください
Instagram:sbc_iwamas