美容外科・美容皮膚科・審美歯科なら湘南美容クリニック
電話予約・電話問い合わせ 10:00~22:45対応 番号を通知してお電話ください 0120-489-100
Instagram
LINE
YouTube
公式アプリ
美容皮膚科
あなたに最適な美容メンテナンスをサポートします!
二重整形
これを見たらあなたも思わず二重にしたくなる♡
医療ダイエット
医療ダイエットをしたらマイナス何センチ?リアルな結果を発信中!
若返り
年齢別・お悩み別で「今やるべき美容医療」がわかる美容医療メディア
クマ取り
クマ取り失敗したくない方必見!成功の秘訣満載★
脂肪吸引
美は武器!夜職女性のための美の総合メディア
予約・お問い合わせ
美容外科 MENU
Language
メインメニュー
診療内容一覧
料金一覧
クリニック案内
ドクター一覧
モニター募集
症例写真
よくある質問
当院が選ばれる理由
当院の症例写真は、画像処理により形や大きさをかえるような処理は一切おこなっておりません。
本田賢治 医師
施術前
施術後術直後
施術した院
部位
施術
施術回数
数量
性別
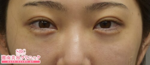
「直後から美しく」20代女性のクマ取りです。目元のクマとたるみ、ゴルゴ線の改善を希望されました。皮膚のハリは十分保たれているため、しっかり脱脂して良い症例です。中顔面も良いボリュームですので、脂肪注入はサポートレベルに留めます。直後から美しい仕上がりとなり、お客様にご満足頂けました。直後から美しく。これが私のクマ取りです。洗練された脱脂術。洗練された脂肪注入術。美しくなる最短距離を歩めば、クマ取りは30分程で終了します。貴方が綺麗になるため、必要なことを。私に任せて下さい。必ず美しく致します。またYoutubeやインスタグラムも、どうぞご覧下さいませ。写真と動画を交えて、たくさんのクマ取り症例を解説しております。これからも、何卒宜しくお願い致します。
施術担当者からのコメント
「直後から美しく」
20代女性のクマ取りです。
目元のクマとたるみ、ゴルゴ線の改善を希望されました。
皮膚のハリは十分保たれているため、
しっかり脱脂して良い症例です。
中顔面も良いボリュームですので、
脂肪注入はサポートレベルに留めます。
直後から美しい仕上がりとなり、お客様にご満足頂けました。
直後から美しく。
これが私のクマ取りです。
洗練された脱脂術。
洗練された脂肪注入術。
美しくなる最短距離を歩めば、クマ取りは30分程で終了します。
貴方が綺麗になるため、必要なことを。
私に任せて下さい。
必ず美しく致します。
またYoutubeやインスタグラムも、どうぞご覧下さいませ。
写真と動画を交えて、たくさんのクマ取り症例を解説しております。
これからも、何卒宜しくお願い致します。