美容外科・美容皮膚科・審美歯科なら湘南美容クリニック
電話予約・電話問い合わせ 10:00~22:45対応 番号を通知してお電話ください 0120-489-100
Instagram
LINE
YouTube
公式アプリ
美容皮膚科
あなたに最適な美容メンテナンスをサポートします!
二重整形
これを見たらあなたも思わず二重にしたくなる♡
医療ダイエット
医療ダイエットをしたらマイナス何センチ?リアルな結果を発信中!
若返り
年齢別・お悩み別で「今やるべき美容医療」がわかる美容医療メディア
クマ取り
クマ取り失敗したくない方必見!成功の秘訣満載★
脂肪吸引
美は武器!夜職女性のための美の総合メディア
予約・お問い合わせ
美容外科 MENU
Language
メインメニュー
診療内容一覧
料金一覧
クリニック案内
ドクター一覧
モニター募集
症例写真
よくある質問
当院が選ばれる理由
当院の症例写真は、画像処理により形や大きさをかえるような処理は一切おこなっておりません。
本田賢治 医師
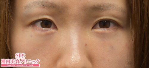
施術前
施術後術直後
施術した院
部位
施術
施術回数
数量
性別
『クマ取りは、光と影を操る芸術です』20代女性のクマ取りです。上まぶたの凹みも気にされておりました。正面診察では中央脂肪が目立ちます。全体的に凹みが非常に強いと判断します。今回の手術では、膨らみ部分を減らすために、中央脂肪を極小量脱脂しました。コンデンスリッチ注入とナノリッチ注入もマイルドです。上まぶたの凹みにはナノリッチを単独注入しています。直後から完璧に仕上げることができました。クマ取りは、光と影を操ります。脱脂は暗くし、注入は明るくする。診察で正しく判定を行い、脱脂する領域と注入する領域を決めます。白黒、光と影。ハイライトを絶妙に操作して、美しいクマ取りは完成します。貴方のクマ取りは、私にお任せ下さい。日本一上手な先生です。宜しくお願い致します。またYoutubeやインスタグラムも、どうぞご覧下さいませ。写真と動画を交えて、たくさんのクマ取り症例を解説しております。これからも、何卒宜しくお願い致します。
施術担当者からのコメント
『クマ取りは、光と影を操る芸術です』
20代女性のクマ取りです。
上まぶたの凹みも気にされておりました。
正面診察では中央脂肪が目立ちます。
全体的に凹みが非常に強いと判断します。
今回の手術では、膨らみ部分を減らすために、中央脂肪を極小量脱脂しました。
コンデンスリッチ注入とナノリッチ注入もマイルドです。
上まぶたの凹みにはナノリッチを単独注入しています。
直後から完璧に仕上げることができました。
クマ取りは、光と影を操ります。
脱脂は暗くし、注入は明るくする。
診察で正しく判定を行い、脱脂する領域と注入する領域を決めます。
白黒、光と影。
ハイライトを絶妙に操作して、美しいクマ取りは完成します。
貴方のクマ取りは、私にお任せ下さい。
日本一上手な先生です。
宜しくお願い致します。
またYoutubeやインスタグラムも、どうぞご覧下さいませ。
写真と動画を交えて、たくさんのクマ取り症例を解説しております。
これからも、何卒宜しくお願い致します。