症例写真(No.277558)

当院の症例写真は、画像処理により形や大きさをかえるような処理は一切おこなっておりません。

岩間晋 医師

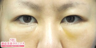
No.277558【若返り】【切らない目の下のたるみ取り+ナノリッチ】ー10歳!時間を巻き戻すクマ取り☆イワマジック★美しい目元を目指すなら岩間院長にお任せ!!

施術前

電車の窓に映る自分の顔が暗く感じてきて、、というご相談でした
→

施術後1週間後

目の上下の余分な脂肪を取り除く事で、10歳程の若返りが可能に
すべての画像を見る

施術した院

部位

施術

施術回数

数量

性別

施術担当者からのコメント

麻酔科認定医 標榜医による痛みの少ない治療を目指してます!
【切らない目の下のたるみ取り】+【ナノリッチ】!!

〈目の下のクマ治療〉
目の下のたるみ取りを行うことにより10歳くらいの若返りが可能です。
手術の跡は、まぶたの裏側ですので、お顔表面に傷が残らないのも特徴です。
また、「目の下の切らないたるみ取り」と「脂肪注入」を同時に行うことで、相乗効果が発揮され、目の下が非常に若返ります。
人それぞれ膨らみ方は異なります。お目元に合わせて最善のご提案をさせて頂きます。

こだわりの若返りをご希望の方は町田院 院長 岩間までご相談ください!

★ご予約は下記フリーダイヤルまで
町田院TEL:0120-489-820

★岩間専用Instagramもご覧ください
Instagram:sbc_iwamas



×

当院におけるワクチン接種後の治療間隔(ガイドライン)

美容皮膚科、美容外科小手術

前後3日(手術日は含まず)、自覚する副反応がなければ可
安心麻酔を使用するものは接種後1週間は空ける

美容外科中、大手術

前後1週間
副反応が残っている場合は延期
接種部位と手術部位が同じ場合は2週間は空ける

×

お急ぎの方はお電話ください

0120-489-100

受付時間 / 10:00~23:00