お急ぎの方はお電話ください
WEB予約
メンズ専用
LINE登録
オンラインストア
SBC e Gift
SBC公式アプリ
SBC 採用サイト
医療機関検索サイトアイメッド
定額制セルフエステ
当院の症例写真は、画像処理により形や大きさをかえるような処理は一切おこなっておりません。
兼井陽子 医師
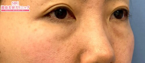
施術前
施術後1週間後
施術した院
部位
施術
施術回数
数量
性別
大阪駅前院の兼井です。目の下の切らないたるみ取り+マイクロCRF(目の下〜ゴルゴ)です。術後3ヶ月、目の下のたるみ・クマが解消されています。疲れた印象が解消されて、若々しくなられました。もう少しすっきりした仕上がりになっていきます。皮膚を切らないため、ダウンタイムが比較的少ない治療です。目の下の窪みには、余分な脂肪を取るだけでなく、御自身の濃縮脂肪を入れることで、より自然な仕上がりになります。
前後3日(手術日は含まず)、自覚する副反応がなければ可安心麻酔を使用するものは接種後1週間は空ける
前後1週間副反応が残っている場合は延期接種部位と手術部位が同じ場合は2週間は空ける
施術担当者からのコメント
大阪駅前院の兼井です。
目の下の切らないたるみ取り+マイクロCRF(目の下〜ゴルゴ)です。
術後3ヶ月、目の下のたるみ・クマが解消されています。
疲れた印象が解消されて、若々しくなられました。
もう少しすっきりした仕上がりになっていきます。
皮膚を切らないため、ダウンタイムが比較的少ない治療です。
目の下の窪みには、余分な脂肪を取るだけでなく、御自身の濃縮脂肪を入れることで、より自然な仕上がりになります。