症例写真(No.279954)
当院の症例写真は、画像処理により形や大きさをかえるような処理は一切おこなっておりません。
大野津介 医師
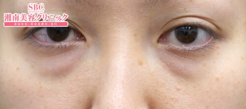
No.279954【若返り】【若返り】☆大野津介医師 2019年下半期 関東エリア症例数No.2☆【目の下の切らないたるみ取り+コンデンスリッチフェイス(目の下~ゴルゴ線)】年齢は関係なく、お悩みのかたがいらっしゃいます。目の下のたるみやクマを改善して-10歳若返り!【施術後1ヶ月経過】
すべての画像を見る
施術した院
部位
施術
施術回数
数量
性別









施術担当者からのコメント
目の下の切らないたるみ取り+コンデンスリッチフェイス(目の下~ゴルゴ線)をお受けになられたお客様です。
施術前・施術後1ヶ月経過したお写真です。
【目の下の切らないたるみ取りとは】
目の下の脂肪を、お顔表面を切らずに除去可能な若返り法です。
・表面を切らずに除去可能
・生き生きとした目元に!
・短時間の施術
・傷跡が残らない
・術後のダウンタイムが少ない
目の下の切らないたるみ取りにはこんなに良い事があります!
【コンデンスリッチフェイス法とは】
ご自分の脂肪を注入することで、注入箇所にハリと潤いを蘇らせ
ふっくらとして丸みを帯びた健康的な素顔を形成することができます。
また採取した脂肪は、遠心分離にかけ、コンデンス(濃縮)技術で不純物を除去
健全な濃縮脂肪細胞=コンデンスリッチファット(CRF) だけを注入するため
高い定着率を実現し、吸引した脂肪を最大限に活かせる若返り法です。
若返り術を最も得意とする大野医師に
何でも相談してくださいね^^
モニター様も募集中です
皆様のご予約をお待ちしております!!
【instagram毎日更新中】
@onoshinsuke_sbc
インスタグラムではリアルタイムで沢山の症例写真や
施術動画をあげています!
≪下の「instagram」アイコンからも飛べます≫
若返り治療を最も得意とする大野医師に
是非お任せください!!