症例写真(No.279992)

当院の症例写真は、画像処理により形や大きさをかえるような処理は一切おこなっておりません。

村上隆英 医師

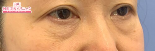
No.279992【若返り】目の下の気になるクマに!《目の下の切らないクマ・たるみ(ふくらみ)取り+リッチフェイス法》目元スッキリ若返り施術でマイナス10歳?!

施術前

施術前
→

施術後1ヶ月後

クマが薄くなって明るい目元になりました!
すべての画像を見る

施術した院

部位

施術

施術回数

数量

性別

施術担当者からのコメント

目の下の切らないたるみ取り、は満足度がとても高く、大人気治療の一つです。

目の下のたるみがなくなるだけで、5歳や10歳若返るだけでなく、相手にとても明るい印象を与えます。

実際に私も施術を受け、みなさんと同じように、「もっと早くやっていればよかった!」と思った一人です。

今は、若返り、アンチエイジング、全盛の時代です。

安心かつ満足してもらえるよう、全力で施術させて頂きます!



×

当院におけるワクチン接種後の治療間隔(ガイドライン)

美容皮膚科、美容外科小手術

前後3日(手術日は含まず)、自覚する副反応がなければ可
安心麻酔を使用するものは接種後1週間は空ける

美容外科中、大手術

前後1週間
副反応が残っている場合は延期
接種部位と手術部位が同じ場合は2週間は空ける

×

お急ぎの方はお電話ください

0120-489-100

受付時間 / 10:00~23:00