症例写真(No.282073)

当院の症例写真は、画像処理により形や大きさをかえるような処理は一切おこなっておりません。

兼井陽子 医師

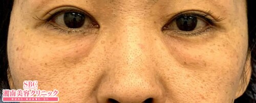
No.282073【若返り】目の下の切らないたるみ取り+マイクロCRF(目の下〜ゴルゴ)で、疲れを感じさせない若々しい目元に♪

施術前

術前
→

施術後3ヶ月後

術後3ヶ月。目の下のクマ・たるみが改善しています
すべての画像を見る

施術した院

部位

施術

施術回数

数量

性別

施術担当者からのコメント

大阪駅前院の兼井です。

目の下の切らないたるみ取り+コンデンスリッチフェイス(目の下〜ゴルゴ)です。

術後3ヶ月、目の下のたるみ・クマが解消されています。

疲れた印象が解消されて、若々しくなられました。

皮膚を切らないため、ダウンタイムが比較的少ない治療です。

目の下の窪みには、余分な脂肪を取るだけでなく、御自身の濃縮脂肪を入れることで、より自然な仕上がりになります。



×

当院におけるワクチン接種後の治療間隔(ガイドライン)

美容皮膚科、美容外科小手術

前後3日(手術日は含まず)、自覚する副反応がなければ可
安心麻酔を使用するものは接種後1週間は空ける

美容外科中、大手術

前後1週間
副反応が残っている場合は延期
接種部位と手術部位が同じ場合は2週間は空ける