お急ぎの方はお電話ください
WEB予約
メンズ専用
LINE登録
オンラインストア
SBC e Gift
SBC公式アプリ
SBC 採用サイト
医療機関検索サイトアイメッド
定額制セルフエステ
当院の症例写真は、画像処理により形や大きさをかえるような処理は一切おこなっておりません。
片岡二郎 医師
施術前
施術後3ヶ月後
施術した院
部位
施術
施術回数
数量
性別
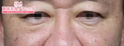
50代男性のお客様です。目の下のタルミにお悩みでした。症状が強いため、切開手術でしか対応が困難です。今回、下眼瞼除皺術(アイバックリムーブ)+コンデンスリッチ脂肪注入(目の下・ゴルゴライン)にて治療を行いました。術後3ヶ月目の比較写真です。目の下のタルミが自然に改善しております。3ヶ月目も経過すると傷もほとんど分からなくなります。目の下のたるみ治療を自然に安全に行うことは結構難しいものです。私は豊富な治療経験をもとに、最適な治療プランをご提案させて頂きます。傷が目立ちにくい緻密なデザインと正確な手術手技が私の持ち味です。執刀医 片岡二郎 医師・医学博士/美容外科専門医(JSAS)湘南美容クリニック新宿本院勤務/技術指導医医師歴26年(脳神経外科歴10年・美容外科歴16年)
前後3日(手術日は含まず)、自覚する副反応がなければ可安心麻酔を使用するものは接種後1週間は空ける
前後1週間副反応が残っている場合は延期接種部位と手術部位が同じ場合は2週間は空ける
施術担当者からのコメント
50代男性のお客様です。
目の下のタルミにお悩みでした。
症状が強いため、切開手術でしか対応が困難です。
今回、下眼瞼除皺術(アイバックリムーブ)+コンデンスリッチ脂肪注入(目の下・ゴルゴライン)にて治療を行いました。
術後3ヶ月目の比較写真です。
目の下のタルミが自然に改善しております。
3ヶ月目も経過すると傷もほとんど分からなくなります。
目の下のたるみ治療を自然に安全に行うことは結構難しいものです。
私は豊富な治療経験をもとに、最適な治療プランをご提案させて頂きます。
傷が目立ちにくい緻密なデザインと正確な手術手技が私の持ち味です。
執刀医
片岡二郎 医師・医学博士/美容外科専門医(JSAS)
湘南美容クリニック新宿本院勤務/技術指導医
医師歴26年(脳神経外科歴10年・美容外科歴16年)