美容外科・美容皮膚科・審美歯科なら湘南美容クリニック
電話予約・電話問い合わせ 10:00~22:45対応 番号を通知してお電話ください 0120-489-100
Instagram
LINE
YouTube
公式アプリ
美容皮膚科
あなたに最適な美容メンテナンスをサポートします!
二重整形
これを見たらあなたも思わず二重にしたくなる♡
医療ダイエット
医療ダイエットをしたらマイナス何センチ?リアルな結果を発信中!
若返り
年齢別・お悩み別で「今やるべき美容医療」がわかる美容医療メディア
クマ取り
クマ取り失敗したくない方必見!成功の秘訣満載★
脂肪吸引
美は武器!夜職女性のための美の総合メディア
予約・お問い合わせ
美容外科 MENU
Language
メインメニュー
診療内容一覧
料金一覧
クリニック案内
ドクター一覧
モニター募集
症例写真
よくある質問
当院が選ばれる理由
当院の症例写真は、画像処理により形や大きさをかえるような処理は一切おこなっておりません。
高橋淳 医師
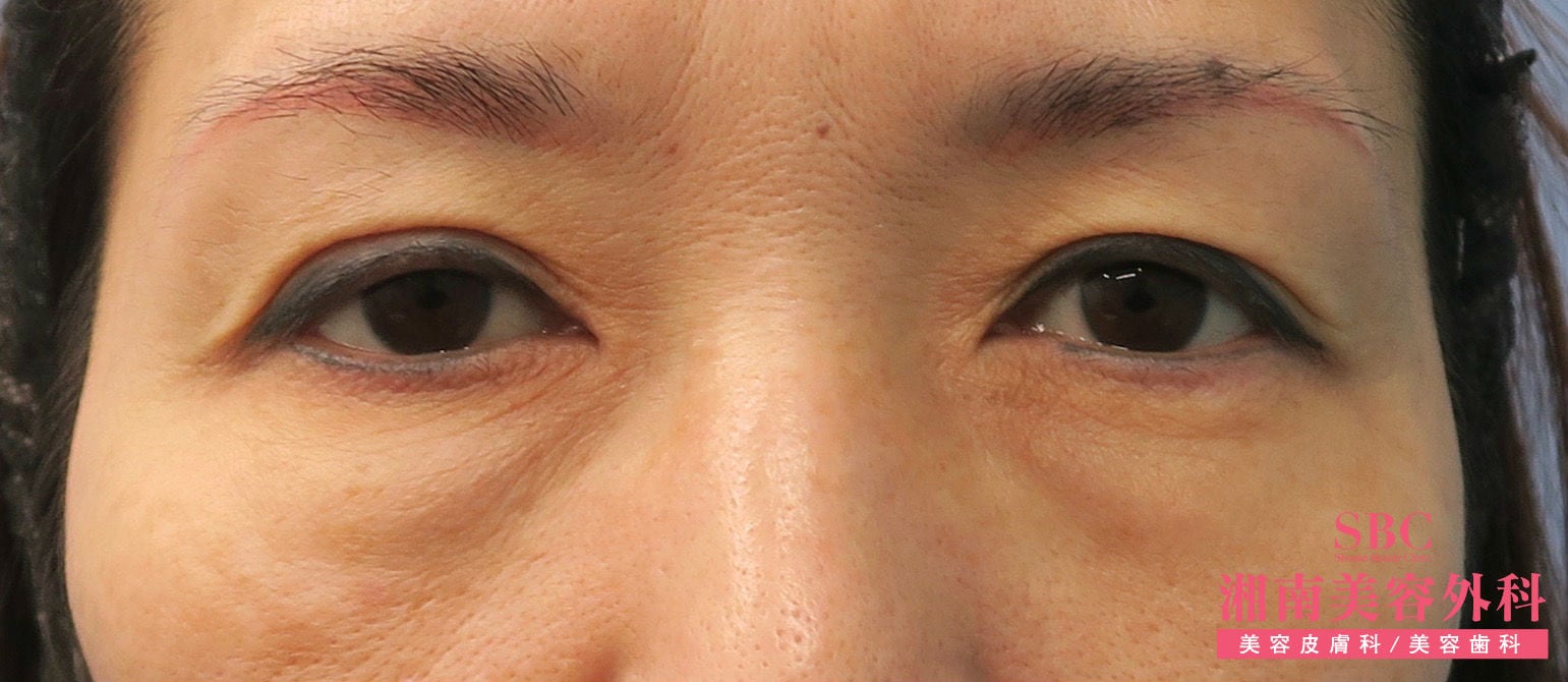
施術前
施術後1ヶ月後
施術した院
部位
施術
施術回数
数量
性別
フォトギャラリーをご覧頂きありがとうございます!お客様は目の下のクマに長年悩んでいらっしゃいました。術後は目の下のふくらみがすっかりとれて目元がすっきりとして若返りました!【目の下の切らないたるみとり】は傷が結膜なので、周囲にばれづらく、さらに【ナノリッチ】で凹凸をなめらかにしたため自然な仕上がりになります。目のクマでお悩みの方はお気軽にご相談下さい!私高橋は・自然なデザイン・最小限のダウンタイム・痛みの少ない手術にこだわっております!是非、お気軽にご相談下さい。千葉センシティ院 TEL0120-955-559現在、千葉センシティ院では、大変お得なモニター様を募集しておりますので、ぜひご利用下さい。期間限定・人数限定のモニターもありますのでお見逃しなく!★★instagramやってます★★instaの方ではより詳しく&沢山の症例写真を載せています!是非チェックしてみて下さい♪@sbc_takahashi_j≪↓↓下の「instagram」アイコンから飛べます↓↓≫☆followme☆湘南美容外科 千葉センシティ院 TEL0120-955-559
施術担当者からのコメント
フォトギャラリーをご覧頂きありがとうございます!
お客様は目の下のクマに長年悩んでいらっしゃいました。
術後は目の下のふくらみがすっかりとれて目元がすっきりとして若返りました!
【目の下の切らないたるみとり】は傷が結膜なので、周囲にばれづらく、
さらに【ナノリッチ】で凹凸をなめらかにしたため自然な仕上がりになります。
目のクマでお悩みの方はお気軽にご相談下さい!
私高橋は
・自然なデザイン
・最小限のダウンタイム
・痛みの少ない手術
にこだわっております!
是非、お気軽にご相談下さい。
千葉センシティ院 TEL0120-955-559
現在、千葉センシティ院では、大変お得なモニター様を募集しておりますので、ぜひご利用下さい。
期間限定・人数限定のモニター
もありますのでお見逃しなく!
★★instagramやってます★★
instaの方ではより詳しく&沢山の症例写真を載せています!
是非チェックしてみて下さい♪
@sbc_takahashi_j
≪↓↓下の「instagram」アイコンから飛べます↓↓≫☆followme☆
湘南美容外科 千葉センシティ院 TEL0120-955-559