美容外科・美容皮膚科・審美歯科なら湘南美容クリニック
電話予約・電話問い合わせ 10:00~22:45対応 番号を通知してお電話ください 0120-489-100
Instagram
LINE
YouTube
公式アプリ
美容皮膚科
あなたに最適な美容メンテナンスをサポートします!
二重整形
これを見たらあなたも思わず二重にしたくなる♡
医療ダイエット
医療ダイエットをしたらマイナス何センチ?リアルな結果を発信中!
若返り
年齢別・お悩み別で「今やるべき美容医療」がわかる美容医療メディア
クマ取り
クマ取り失敗したくない方必見!成功の秘訣満載★
脂肪吸引
美は武器!夜職女性のための美の総合メディア
予約・お問い合わせ
美容外科 MENU
Language
メインメニュー
診療内容一覧
料金一覧
クリニック案内
ドクター一覧
モニター募集
症例写真
よくある質問
当院が選ばれる理由
当院の症例写真は、画像処理により形や大きさをかえるような処理は一切おこなっておりません。
中谷拓 医師
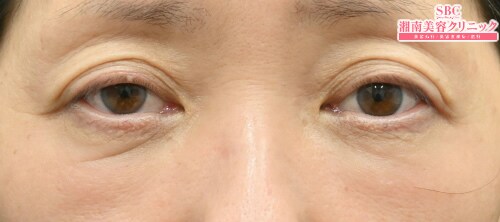
施術前
施術後1ヶ月後
施術した院
部位
施術
施術回数
数量
性別
目の下の切らないたるみ取り+脂肪注入をお受けになられたお客様です。こちらは術前、術後1ヶ月経過したお写真になります。※目元のたるみ・ふくらみ改善のお手術のため、しみの改善はできません※最近目が疲れていると感じることありませんか?目の下の切らないクマ・たるみ取りは顔の表面に傷を残さず、見た目年齢をリセットすることが可能で大変人気の施術です。施術後はコンプレックスが解消され笑顔が増えたとおっしゃられる方も大変多いです。同日施術で一回の治療なのでダウンタイムが取れる方であれば非常におすすめです。詳しい説明は是非カウンセリングにお越しください。【instagram更新中】@sbc_takuインスタグラムではリアルタイムで沢山の症例写真や施術動画をあげています!≪下の「instagram」アイコンからも飛べます≫
施術担当者からのコメント
目の下の切らないたるみ取り+脂肪注入をお受けになられたお客様です。
こちらは術前、術後1ヶ月経過したお写真になります。
※目元のたるみ・ふくらみ改善のお手術のため、しみの改善はできません※
最近目が疲れていると感じることありませんか?
目の下の切らないクマ・たるみ取りは顔の表面に傷を残さず、
見た目年齢をリセットすることが可能で大変人気の施術です。
施術後はコンプレックスが解消され笑顔が増えたとおっしゃられる方も大変多いです。
同日施術で一回の治療なのでダウンタイムが取れる方であれば非常におすすめです。
詳しい説明は是非カウンセリングにお越しください。
【instagram更新中】
@sbc_taku
インスタグラムではリアルタイムで沢山の症例写真や
施術動画をあげています!
≪下の「instagram」アイコンからも飛べます≫