美容外科・美容皮膚科・審美歯科なら湘南美容クリニック
電話予約・電話問い合わせ 10:00~22:45対応 番号を通知してお電話ください 0120-489-100
Instagram
LINE
YouTube
公式アプリ
美容皮膚科
あなたに最適な美容メンテナンスをサポートします!
二重整形
これを見たらあなたも思わず二重にしたくなる♡
医療ダイエット
医療ダイエットをしたらマイナス何センチ?リアルな結果を発信中!
若返り
年齢別・お悩み別で「今やるべき美容医療」がわかる美容医療メディア
クマ取り
クマ取り失敗したくない方必見!成功の秘訣満載★
脂肪吸引
美は武器!夜職女性のための美の総合メディア
予約・お問い合わせ
美容外科 MENU
Language
メインメニュー
診療内容一覧
料金一覧
クリニック案内
ドクター一覧
モニター募集
症例写真
よくある質問
当院が選ばれる理由
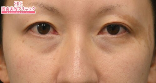
当院の症例写真は、画像処理により形や大きさをかえるような処理は一切おこなっておりません。
本田賢治 医師
施術前
施術後術直後
施術した院
部位
施術
施術回数
数量
性別
ご覧頂き有難うございます。6年通算クマ取り件数No.1!(2015-2020年)2020年と2021年も症例数全国No.1!湘南のクマ取り王、品川院院長の本田です。「完璧なクマ取りは任せて」30代女性のクマ取りです。影赤青の3種グマと、たるみが目立ちます。脱脂注入法で綺麗にしました。直後からクマたるみが改善しています。私はクマ取りのプロですので、完璧な仕上がりが通常クオリティです。安心安全の手術をご希望の方は、ぜひ私に任せて下さい。インスタグラム 『kenjihonda1025』 Youtube 『白くま本田先生』を検索頂ければ、クマ取り写真と動画解説を沢山ご覧頂けます。こちらも何卒宜しくお願い致します。
施術担当者からのコメント
ご覧頂き有難うございます。
6年通算クマ取り件数No.1!
(2015-2020年)
2020年と2021年も症例数全国No.1!
湘南のクマ取り王、品川院院長の本田です。
「完璧なクマ取りは任せて」
30代女性のクマ取りです。
影赤青の3種グマと、たるみが目立ちます。
脱脂注入法で綺麗にしました。
直後からクマたるみが改善しています。
私はクマ取りのプロですので、
完璧な仕上がりが通常クオリティです。
安心安全の手術をご希望の方は、
ぜひ私に任せて下さい。
インスタグラム 『kenjihonda1025』
Youtube 『白くま本田先生』を検索頂ければ、
クマ取り写真と動画解説を沢山ご覧頂けます。
こちらも何卒宜しくお願い致します。