症例写真(No.294751)

当院の症例写真は、画像処理により形や大きさをかえるような処理は一切おこなっておりません。

高川裕也 医師

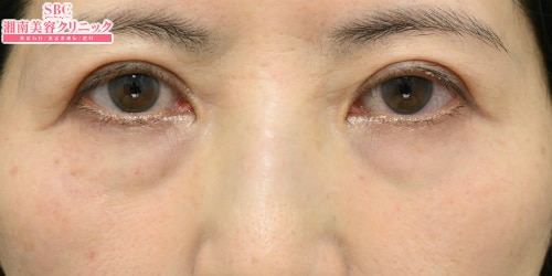
No.294751【若返り】《目の下のクマ取り》2020年度SBCアワードお客様満足度No.1!! 圧倒的実績のベテランドクター高川の若返り術☆【MD式裏ハムラ法+コンデンスリッチ・ナノリッチ(目の下〜ゴルゴ)】術前→術後1ヶ月後

施術前

術前
→

施術後1ヶ月後

術後1か月後
すべての画像を見る

施術した院

部位

施術

施術回数

数量

性別

施術担当者からのコメント

50代女性

【MD式+裏ハムラ法+コンデンスリッチ・ナノリッチ(目の下〜ゴルゴ)】

今回は #高川のクマ取りパーフェクトコース にさらにダウンタイムを短くしたい方向けのMD式をプラス。

裏ハムラ法に脂肪注入を併用した技術力のあるベテランドクターしか出来ないクマ取り術です。
「下まぶたのたるみが気になる」「老けて見られてしまう」というお悩みを持っている方にお勧めの若返り法です。
目の下には「眼窩脂肪」という脂肪がありますが、主に黒クマ(影クマ)と呼ばれるクマはこのような脂肪の膨らみによって出来ています。
裏ハムラ法では表面に傷をつけないので、自然で滑らかな目元を実現いたします。
さらに、たるみ・膨らみ改善だけでなく、今後の予防にも効果的な方法です!

コンデンスリッチ(大きい脂肪)=深い層に入れてボリュームUP
★吸引した脂肪を最大限生かせる若返り法です★
不純物を除去し、健全な濃縮脂肪細胞だけを注入でき高い定着率を実現します!!!

ナノリッチ(小さい脂肪)=浅い層に入れてハリ感UP
★究極の若返り方★
脂肪からごく少量しか取れない研ぎ澄まされた良質な幹細胞と小さな脂肪からなる不純物の少ない極小脂肪を複数の注入口から注入、永続的な効果が期待できます!!

インスタグラムも是非ご覧ください。
たくさんの症例写真を掲載しております!!

名古屋院Instagram
https://www.instagram.com/sbc_nagoya/

高川Dr(二重)Instagram
https://www.instagram.com/sbc_tg/

高川Dr(若返り)Instagram
https://www.instagram.com/sbc_tg_mrantiaging/

YouTube始めました★毎日更新★
「Dr.てぃーじー」こちらも宜しくお願いします!
https://www.youtube.com/channel/UC5DWn0h7r8GuNTXEVOnCdKQ

Dr高川&名古屋院ブログ
↓予約情報発信しております↓
https://ameblo.jp/dr-takagawa



×

当院におけるワクチン接種後の治療間隔(ガイドライン)

美容皮膚科、美容外科小手術

前後3日(手術日は含まず)、自覚する副反応がなければ可
安心麻酔を使用するものは接種後1週間は空ける

美容外科中、大手術

前後1週間
副反応が残っている場合は延期
接種部位と手術部位が同じ場合は2週間は空ける

×

お急ぎの方はお電話ください

0120-489-100

受付時間 / 10:00~23:00