症例写真(No.300300)

当院の症例写真は、画像処理により形や大きさをかえるような処理は一切おこなっておりません。

坂西寛信 医師

No.300300【若返り】【SBC公認技術指導医/新宿南口院】美容外科専門医ベテランドクターによる切らない目の下のクマ治療!症例写真8000枚超☆3年連続!!! SBC award 最優秀賞 受賞ドクター坂西執刀♪『裏ハムラ法(経結膜眼窩脂肪移動術/再配置)』

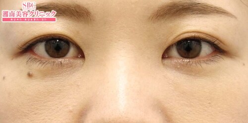
施術前

目の下に膨らみがありますね
→

施術後3ヶ月後

膨らみがなくなりスッキリしました!涙袋も出てきて目元ぱっちり
→

施術後1週間後

1週間でこの仕上がり!!

すべての画像を見る

施術した院

部位

施術

施術回数

数量

性別

施術担当者からのコメント

目の下のクマ治療のお写真です。

『裏ハムラ法(経結膜眼窩脂肪移動術)』は
表面に傷を作らず、自然な変化で目の下のクマを解消いたします。
生きた脂肪をそのまま移動するので、脂肪移植と違い生着率100%&しこりのリスク0%!

私の得意とする目の下のクマ治療。
プチ整形から切らない手術、切る手術と各種治療を行っています。全ての治療が出来るから各々の良し悪しが分かるので、最適な方法をご提供する事が出来ます。

目の下のクマ治療で傷跡を残したくない方は、是非ご相談下さい!
よろしければ、カウンセリングにお越し下さい。
お会いできること、楽しみにしております。

【無料カウンセリングのご予約電話】
0120-955-577
受付時間:10:00~23:00 (土・日・祝日も対応)
ご予約のお電話には専門のスタッフが常に対応しております。
カウンセリングや施術、料金などのお問い合わせ等、
お気軽にお尋ねください。

-----------------------------------------
【坂西医師が選ばれる理由】
◆ベテラン、キャリア
SBC公認技術指導医、美容外科学会専門医、抗加齢医学会専門医、整形外科学会専門医
医者歴20年、美容外科歴10年、執刀施術3万件超。
学会発表5回、SBCアワード3年連続受賞。
◆症例が好み、多い
症例写真8000枚超、グループ内トップクラス
◆誠実、親切、優しい
術前のカウンセリングから術後のフォローまで自ら対応
必ず寄り添う姿勢がスタッフからも人気

【人気施術ランキング】
◆二重術
二重埋没法 『グランドループ法(結膜側結紮1糸6点固定)』 開発者、全切開二重術、眼瞼下垂術、目頭切開術、タレ目(下眼瞼下制術)、目尻切開術
◆整鼻術
表面に傷跡を残さないクローズ法(鼻尖形成術、プロテーゼ)、オープン法による鼻中隔延長術、小鼻(鼻翼)縮小術
◆若返り術
眉下リフト(切開)術、目の下のたるみ・クマ取り(脱脂、裏ハムラ法、切開ハムラ法)、糸リフト(ミントリフト公認技術指導医)、切開フェイスリフト



×

当院におけるワクチン接種後の治療間隔(ガイドライン)

美容皮膚科、美容外科小手術

前後3日(手術日は含まず)、自覚する副反応がなければ可
安心麻酔を使用するものは接種後1週間は空ける

美容外科中、大手術

前後1週間
副反応が残っている場合は延期
接種部位と手術部位が同じ場合は2週間は空ける