湘南美容の約束 湘南美容の約束

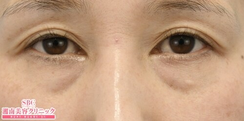
症例写真(No.301032)

当院の症例写真は、画像処理により形や大きさをかえるような処理は一切おこなっておりません。

伊藤賀敏 医師

No.301032【若返り】【医師歴20年以上のベテラン】目の下の切らないクマ取り+コンデンスリッチ+ナノリッチ【若返りなら糸っクマ伊藤】

施術前

術前です。
→

施術後1ヶ月後

術後です。
すべての画像を見る

施術した院

部位

施術

施術回数

数量

性別

施術担当者からのコメント

クマ治し(目の下の切らないクマ・たるみ取り)は、幅広いご年齢層からご依頼をいただいておりますが、20-40代の方々からのご依頼がとても多いです!
なぜなら、目の下のタルミは眼窩脂肪が前方に突出してできるのですが、遺伝的要因(生まれつき眼窩脂肪が多い)や眼精疲労・加齢により眼輪筋が弱ることが影響するため、学生時代からクマのせいで疲れた印象の方もたくさん受診されます!
もっと眼窩脂肪が突出してから手術を受けようとお考えでしたら、皮膚が伸びきって小じわが出来てしまいますため、20-40代くらいでご受診して頂くのが最適です!
カウンセリングは無料ですので、お気軽にご相談ください♪