症例写真(No.302791)

当院の症例写真は、画像処理により形や大きさをかえるような処理は一切おこなっておりません。

中谷拓 医師

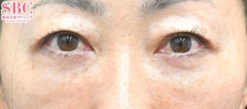
No.302791【若返り】化粧で隠せないクマ、目の下のクマ・たるみ・凸凹を解消して老け顔・疲れ顔卒業!若返り術症例数トップレベルの銀座院で研かれた技術力!目の下の切らないたるみ取り【術後1ヶ月経過】

施術前

術前
→

施術後1ヶ月後

ノーメイク
→

施術後1ヶ月後

メイクあり

すべての画像を見る

施術した院

部位

施術

施術回数

数量

性別

施術担当者からのコメント

目の下の切らないたるみ取り+脂肪注入をお受けになられたお客様です。
こちらは術前、術後1ヶ月経過したお写真になります。
※目元のたるみ・ふくらみ改善のお手術のため、しみの改善はできません※

最近目が疲れていると感じることありませんか?

目の下の切らないクマ・たるみ取りは顔の表面に傷を残さず、
見た目年齢をリセットすることが可能で大変人気の施術です。

施術後はコンプレックスが解消され笑顔が増えたとおっしゃられる方も大変多いです。
同日施術で一回の治療なのでダウンタイムが取れる方であれば非常におすすめです。

詳しい説明は是非カウンセリングにお越しください。

【instagram更新中】
@sbc_taku
インスタグラムではリアルタイムで沢山の症例写真や
施術動画をあげています!
≪下の「instagram」アイコンからも飛べます≫



×

当院におけるワクチン接種後の治療間隔(ガイドライン)

美容皮膚科、美容外科小手術

前後3日(手術日は含まず)、自覚する副反応がなければ可
安心麻酔を使用するものは接種後1週間は空ける

美容外科中、大手術

前後1週間
副反応が残っている場合は延期
接種部位と手術部位が同じ場合は2週間は空ける