症例写真(No.302873)

当院の症例写真は、画像処理により形や大きさをかえるような処理は一切おこなっておりません。

深田賢吾 医師

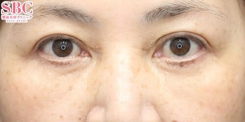
No.302873【若返り】-10歳も夢じゃない!クマ取りでなめらかな明るいお目元に

施術前

術前です
→

施術後1ヶ月後

術後です
すべての画像を見る

施術した院

部位

施術

施術回数

数量

性別

施術担当者からのコメント

膨らみがなくなり、クマが改善されました!
目の下のクマには、脂肪による膨らみが原因のものがございます。
脂肪が原因の場合は脂肪を取り除かない限り改善しません。

・「なんだか目の下が膨らんでいるな」
・「もともとぽこっと目の下がふくれている」
・「お化粧しても隠せないな」

そんな悩みを抱えている方には
クマ取り治療がおすすめです!

お顔の表面に傷付けることなく、ダウンタイムも
そこまで長くはないので、
大変人気で満足度が高い治療になっております。

「クマ取りKING」と呼ばれ、症例数も圧倒的です。
お得なモニター様も募集しております。

ぜひ一度無料カウンセリングにお越しください。



×

当院におけるワクチン接種後の治療間隔(ガイドライン)

美容皮膚科、美容外科小手術

前後3日(手術日は含まず)、自覚する副反応がなければ可
安心麻酔を使用するものは接種後1週間は空ける

美容外科中、大手術

前後1週間
副反応が残っている場合は延期
接種部位と手術部位が同じ場合は2週間は空ける

×

お急ぎの方はお電話ください

0120-489-100

受付時間 / 10:00~23:00