お急ぎの方はお電話ください
WEB予約
メンズ専用
LINE登録
オンラインストア
SBC公式アプリ
SBC 採用サイト
医療機関検索サイトアイメッド
定額制セルフエステ
当院の症例写真は、画像処理により形や大きさをかえるような処理は一切おこなっておりません。
石井佳央理 医師
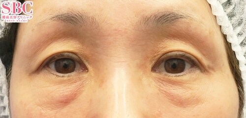
施術前
施術後1ヶ月後
施術した院
部位
施術
施術回数
数量
性別
【施術内容】目の下の切らないクマ・たるみ(ふくらみ)取り +脂肪注入(コンデンスリッチフェイス法)クマやたるみがあると疲れ顔に見えたり、老けた印象を与えてしまいますよね!目の下のふくらみを取ってあげるだけでお顔の印象はガラリと変わります!今回のお客様は、目の下の脂肪が垂れ下がって疲れた印象の目元に...。原因となっていた眼窩脂肪を取り除きました!「コンデンスリッチフェイス法」ではご自身の脂肪を注入します。自分の脂肪だから定着率が高く、ふっくらとした自然なお目元になります!【モニター募集中!】1人1人のお悩みやお顔に合った施術をご提案させて頂きます。是非、お気軽にご相談ください。=================美容外科医/美容皮膚科医■日本美容外科学会(JSAS)会員■日本/EU医師免許所有■得意施術は婦人科形成と若返りです=================☆Instagramで症例を多数掲載中!@sbc_ishii症例写真はもちろん、お得なモニター募集や新着情報を配信中ぜひご覧ください。
前後3日(手術日は含まず)、自覚する副反応がなければ可安心麻酔を使用するものは接種後1週間は空ける
前後1週間副反応が残っている場合は延期接種部位と手術部位が同じ場合は2週間は空ける
0120-489-100
受付時間 / 10:00~23:00
施術担当者からのコメント
【施術内容】
目の下の切らないクマ・たるみ(ふくらみ)取り
+
脂肪注入(コンデンスリッチフェイス法)
クマやたるみがあると疲れ顔に見えたり、老けた印象を与えてしまいますよね!
目の下のふくらみを取ってあげるだけでお顔の印象はガラリと変わります!
今回のお客様は、目の下の脂肪が垂れ下がって疲れた印象の目元に...。
原因となっていた眼窩脂肪を取り除きました!
「コンデンスリッチフェイス法」ではご自身の脂肪を注入します。
自分の脂肪だから定着率が高く、ふっくらとした自然なお目元になります!
【モニター募集中!】
1人1人のお悩みやお顔に合った施術をご提案させて頂きます。
是非、お気軽にご相談ください。
=================
美容外科医/美容皮膚科医
■日本美容外科学会(JSAS)会員
■日本/EU医師免許所有
■得意施術は婦人科形成と若返りです
=================
☆Instagramで症例を多数掲載中!
@sbc_ishii
症例写真はもちろん、お得なモニター募集や新着情報を配信中
ぜひご覧ください。