症例写真(No.307975)

当院の症例写真は、画像処理により形や大きさをかえるような処理は一切おこなっておりません。

小泉佑太 医師

No.307975【若返り】【40代の若返り】【目の下の切らないクマ・たるみ取り】【コンデンスリッチフェイス(目の下-ゴルゴ)】目の下のたるみ解消で昔のような若々しい目元に!

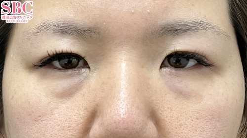
施術前

術前
→

施術後1ヶ月後

たるみが解消し、若々しい印象になっています!
すべての画像を見る

施術した院

部位

施術

施術回数

数量

性別

施術担当者からのコメント

___________________________________________

こいちゃん先生で【目の下の切らないたるみ取り+コンデンスリッチフェイス】を受けられた方の症例です。
本日のお客様は、疲れて見える目の下のたるみを改善させたいとのご希望でした。

術後1ヶ月です。
目の下のたるみが解消し、見た目年齢が劇的に若返っています!
______________________________________________

お話のみでも受け付けていますので、まずは一度ご相談にいらしてみてくださいね。

★★instagramやってます★★
instaの方ではより詳しく&沢山の症例写真を載せています!
是非チェックしてみて下さい♪
@sbc_koichan
≪↓↓下の「instagram」アイコンから飛べます↓↓≫☆followme☆



×

当院におけるワクチン接種後の治療間隔(ガイドライン)

美容皮膚科、美容外科小手術

前後3日(手術日は含まず)、自覚する副反応がなければ可
安心麻酔を使用するものは接種後1週間は空ける

美容外科中、大手術

前後1週間
副反応が残っている場合は延期
接種部位と手術部位が同じ場合は2週間は空ける

×

お急ぎの方はお電話ください

0120-489-100

受付時間 / 10:00~23:00