症例写真(No.307992)

当院の症例写真は、画像処理により形や大きさをかえるような処理は一切おこなっておりません。

檜山和弘 医師

No.307992【若返り】【目の下のクマ治療!裏ハムラ】小児心臓手術を経験してきた繊細で丁寧な外科手技!抗加齢専門医所持の若返りのスペシャリスト!ルークひのき院長にお任せ!

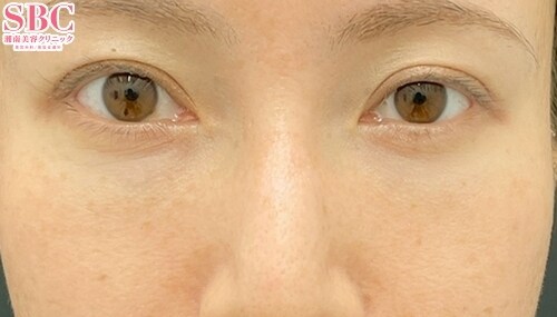
施術前

目の下にふくらみとその下に凹みがあって気になる!とのご相談
→

施術後1ヶ月後

目の下が「裏ハムラ」で滑らかになり、明るい印象になりました!
すべての画像を見る

施術した院

部位

施術

施術回数

数量

性別

施術担当者からのコメント

小児心臓手術を経験してきた繊細で丁寧な外科手技!
【抗加齢専門医所持の若返りの匠!】

「美と若返りのスペシャリスト」ルークひのき医師
印象が明るく、自然な若返り「目の下のクマ治療!」
【裏ハムラ】

★こだわりPOINT★

1. 繊細で丁寧な外科手技!
元心臓血管外科専門医で数多くの小児心臓手術を経験してきた高い外科技術を用いて、最小限の腫れと内出血を実現します。

2. ナチュラルな仕上がり!
眼窩脂肪を取りすぎず、特殊なカニューレを用いたしこりのない脂肪注入を行い、ナチュラルな仕上がりを実現します。

3. 痛みが最小限!
麻酔時に局所麻酔と神経ブロックを併用し、痛みを最小限に抑えます。

4. ダウンタイムが最小限!
施術時間は目の下の切らないクマ・たるみ(ふくらみ)取りのみだと約15分以内、脂肪注入を含めても40分以内なので、最小限のダウンタイムを実現します。
……………………………………………
【檜山院長の実績】
★SBCで唯一の元心臓血管外科専門医医師歴26年の信頼と実績がある
★アンチエイジング専門医資格あり!
★2020年上半期 糸リフト・ヒアルロン酸注入・美容針・FGF・美肌レーザー 九州・沖縄エリア
【5部門】NO1!!(2020年1~6月SBC内)
★2021年下半期 美容針 全国No.1!!? (2021年7〜12月SBC内)
★2022年上半期 テスリフト 全国No.1!!(2022年1〜6月SBC内)
★2022年上半期 糸リフト 全国No.2!!(2022年1〜6月SBC内)
★2022年上半期 乳頭縮小術・モントゴメリー腺切除 東日本No.2!!(2022年1〜6月SBC内)
★2022年上半期 ヒアルロン酸注入 東京エリアNo.3!! (2022年1〜6月SBC内)   
……………………………………………

★ご予約は下記フリーダイヤルまで
町田院TEL:0120-489-820

★檜山医師専用Instagramもご覧ください
Instagram:sbc_hinokiyama



×

当院におけるワクチン接種後の治療間隔(ガイドライン)

美容皮膚科、美容外科小手術

前後3日(手術日は含まず)、自覚する副反応がなければ可
安心麻酔を使用するものは接種後1週間は空ける

美容外科中、大手術

前後1週間
副反応が残っている場合は延期
接種部位と手術部位が同じ場合は2週間は空ける

×

お急ぎの方はお電話ください

0120-489-100

受付時間 / 10:00~23:00