美容外科・美容皮膚科・審美歯科なら湘南美容クリニック
電話予約・電話問い合わせ 10:00~22:45対応 番号を通知してお電話ください 0120-489-100
Instagram
LINE
YouTube
公式アプリ
美容皮膚科
あなたに最適な美容メンテナンスをサポートします!
二重整形
これを見たらあなたも思わず二重にしたくなる♡
医療ダイエット
医療ダイエットをしたらマイナス何センチ?リアルな結果を発信中!
若返り
年齢別・お悩み別で「今やるべき美容医療」がわかる美容医療メディア
クマ取り
クマ取り失敗したくない方必見!成功の秘訣満載★
脂肪吸引
美は武器!夜職女性のための美の総合メディア
予約・お問い合わせ
美容外科 MENU
Language
メインメニュー
診療内容一覧
料金一覧
クリニック案内
ドクター一覧
モニター募集
症例写真
よくある質問
当院が選ばれる理由
当院の症例写真は、画像処理により形や大きさをかえるような処理は一切おこなっておりません。
石井佳央理 医師
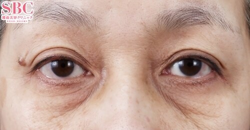
施術前
施術後1ヶ月後
施術した院
部位
施術
施術回数
数量
性別
【施術内容】目の下の切らないクマ・たるみ(ふくらみ)取り +脂肪注入(ナノリッチ法)クマやたるみがあると疲れ顔に見えたり、老けた印象を与えてしまいますよね!目の下のふくらみを取ってあげるだけでお顔の印象はガラリと変わります!今回のお客様は、目の下の脂肪が垂れ下がって疲れた印象の目元に...。原因となっていた眼窩脂肪を取り除きました!「ナノリッチ法」ではご自身の脂肪を注入します。自分の脂肪だから定着率が高く、ふっくらとした自然なお目元になります!【モニター募集中!】1人1人のお悩みやお顔に合った施術をご提案させて頂きます。是非、お気軽にご相談ください。=================美容外科医/美容皮膚科医■日本美容外科学会(JSAS)会員■日本/EU医師免許所有■得意施術は婦人科形成と若返りです=================☆Instagramで症例を多数掲載中!@sbc_ishii症例写真はもちろん、お得なモニター募集や新着情報を配信中ぜひご覧ください。
施術担当者からのコメント
【施術内容】
目の下の切らないクマ・たるみ(ふくらみ)取り
+
脂肪注入(ナノリッチ法)
クマやたるみがあると疲れ顔に見えたり、老けた印象を与えてしまいますよね!
目の下のふくらみを取ってあげるだけでお顔の印象はガラリと変わります!
今回のお客様は、目の下の脂肪が垂れ下がって疲れた印象の目元に...。
原因となっていた眼窩脂肪を取り除きました!
「ナノリッチ法」ではご自身の脂肪を注入します。
自分の脂肪だから定着率が高く、ふっくらとした自然なお目元になります!
【モニター募集中!】
1人1人のお悩みやお顔に合った施術をご提案させて頂きます。
是非、お気軽にご相談ください。
=================
美容外科医/美容皮膚科医
■日本美容外科学会(JSAS)会員
■日本/EU医師免許所有
■得意施術は婦人科形成と若返りです
=================
☆Instagramで症例を多数掲載中!
@sbc_ishii
症例写真はもちろん、お得なモニター募集や新着情報を配信中
ぜひご覧ください。