美容外科・美容皮膚科・審美歯科なら湘南美容クリニック
電話予約・電話問い合わせ 10:00~22:45対応 番号を通知してお電話ください 0120-489-100
Instagram
LINE
YouTube
公式アプリ
美容皮膚科
あなたに最適な美容メンテナンスをサポートします!
二重整形
これを見たらあなたも思わず二重にしたくなる♡
医療ダイエット
医療ダイエットをしたらマイナス何センチ?リアルな結果を発信中!
若返り
年齢別・お悩み別で「今やるべき美容医療」がわかる美容医療メディア
クマ取り
クマ取り失敗したくない方必見!成功の秘訣満載★
脂肪吸引
美は武器!夜職女性のための美の総合メディア
予約・お問い合わせ
美容外科 MENU
Language
メインメニュー
診療内容一覧
料金一覧
クリニック案内
ドクター一覧
モニター募集
症例写真
よくある質問
当院が選ばれる理由
当院の症例写真は、画像処理により形や大きさをかえるような処理は一切おこなっておりません。
大野津介 医師
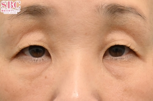
施術前
施術後1ヶ月後
施術した院
部位
施術
施術回数
数量
性別
アイバックリムーブ法をお受けになられたお客様です。こちらは施術前・施術後1ヶ月経過したお写真です。【アイバックリムーブ法とは】アイバックリムーブ法は皮膚・筋肉・脂肪を調整して、目の下の凹凸だけでなく、皮膚のたるみも最小限に目立ちにくくできる施術です。皮膚の切開線はまつ毛の際に隠しますので、お時間が経過すればほとんどわかりません。目の下のたるみでお悩みなら、是非カウンセリングにお越しください!若返り術を最も得意とする大野医師に何でも相談してくださいね^^モニター様も募集中です皆様のご予約をお待ちしております!!【instagram毎日更新中】@onoshinsuke_sbcインスタグラムではリアルタイムで沢山の症例写真や施術動画をあげています!≪下の「instagram」アイコンからも飛べます≫若返り治療を最も得意とする大野医師に是非お任せください!!
施術担当者からのコメント
アイバックリムーブ法をお受けになられたお客様です。
こちらは施術前・施術後1ヶ月経過したお写真です。
【アイバックリムーブ法とは】
アイバックリムーブ法は皮膚・筋肉・脂肪を調整して、目の下の凹凸だけでなく、皮膚のたるみも最小限に目立ちにくくできる施術です。皮膚の切開線はまつ毛の際に隠しますので、お時間が経過すればほとんどわかりません。
目の下のたるみでお悩みなら、是非カウンセリングにお越しください!
若返り術を最も得意とする大野医師に
何でも相談してくださいね^^
モニター様も募集中です
皆様のご予約をお待ちしております!!
【instagram毎日更新中】
@onoshinsuke_sbc
インスタグラムではリアルタイムで沢山の症例写真や
施術動画をあげています!
≪下の「instagram」アイコンからも飛べます≫
若返り治療を最も得意とする大野医師に
是非お任せください!!