症例写真(No.311486)

当院の症例写真は、画像処理により形や大きさをかえるような処理は一切おこなっておりません。

高川裕也 医師

No.311486【若返り】【クマ取り顧客満足度No.1ドクター2020年SBC内/名古屋院院長】 圧倒的実績のベテランドクター高川のクマ取り術☆【裏ハムラ法+コンデンスリッチ(目の下+ゴルゴ)】術前→術後1ヶ月後

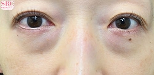
施術前

術前
→

施術後1ヶ月後

術後1ヶ月後
すべての画像を見る

施術した院

部位

施術

施術回数

数量

性別

施術担当者からのコメント

【裏ハムラ法+コンデンスリッチ(目の下+ゴルゴ)】

今回は、裏ハムラ法の40代女性の症例です。
目の下の脂肪を取るのではなく、膨らんでいるところから窪んでいるところに移動させ美しく整える方法が【裏ハムラ法】です。この方法では、お顔の表面に傷を付けずに悩みのクマを解消でき、再発予防もできるので非常に満足度が高い施術です。

インスタグラムも是非ご覧ください。
たくさんの症例写真を掲載しております!!

名古屋院Instagram
https://www.instagram.com/sbc_nagoya/

高川Dr(二重)Instagram
https://www.instagram.com/sbc_tg/

高川Dr(若返り)Instagram
https://www.instagram.com/sbc_tg_mrantiaging/

YouTubeやってます★毎週土曜更新★
「Dr.てぃーじー」こちらも宜しくお願いします!
https://www.youtube.com/channel/UC5DWn0h7r8GuNTXEVOnCdKQ

Dr高川&名古屋院ブログ
↓予約情報発信しております↓
https://ameblo.jp/dr-takagawa



×

当院におけるワクチン接種後の治療間隔(ガイドライン)

美容皮膚科、美容外科小手術

前後3日(手術日は含まず)、自覚する副反応がなければ可
安心麻酔を使用するものは接種後1週間は空ける

美容外科中、大手術

前後1週間
副反応が残っている場合は延期
接種部位と手術部位が同じ場合は2週間は空ける

×

お急ぎの方はお電話ください

0120-489-100

受付時間 / 10:00~23:00