症例写真(No.311602)
当院の症例写真は、画像処理により形や大きさをかえるような処理は一切おこなっておりません。
大野津介 医師
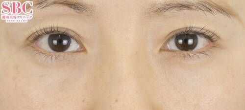
No.311602【若返り】40代クマとり☆症例数第2位!(2022年下半期/東京都のぞく関東)☆ 【目の下の切らないたるみ取り+コンデンスリッチ(目の下~ゴルゴ線・法令線)】年齢は関係なく、お悩みの方がいらっしゃいます。目の下のたるみ・クマをなくして-5歳に印象チェンジ!【施術後3ヶ月経過】
すべての画像を見る
施術した院
部位
施術
施術回数
数量
性別




施術担当者からのコメント
目の下の切らないたるみ取り+コンデンスリッチフェイス(目の下~ゴルゴ線)をお受けになられた40代のお客様です。
施術前・施術後3ヶ月経過したお写真です。
【目の下の切らないたるみ取りとは】
目の下の脂肪を、お顔表面を切らずに除去可能な若返り法です。
・表面を切らずに除去可能
・生き生きとした目元に!
・短時間の施術
・傷跡が残らない
・術後のダウンタイムが少ない
目の下の切らないたるみ取りにはこんなに良い事があります!
【コンデンスリッチフェイス法とは】
ご自分の脂肪を注入することで、注入箇所にハリと潤いを蘇らせ
ふっくらとして丸みを帯びた健康的な素顔を形成することができます。
また採取した脂肪は、遠心分離にかけ、コンデンス(濃縮)技術で不純物を除去
健全な濃縮脂肪細胞=コンデンスリッチファット(CRF) だけを注入するため
高い定着率を実現し、吸引した脂肪を最大限に活かせる若返り法です。
【ナノリッチ法とは】
脂肪から極少量しか取れない研ぎ澄まされた良質な幹細胞と
小さな脂肪からなる不純物の少ない極小脂肪を、
複数の注入口から注入するクリスクロス法で実現する、
永続的な効果が期待できるエイジングケア術です。
硬い線維質を徹底除去した幹細胞を使用するので、不自然な凹凸が出来にくく、
コンデンスリッチと併用することでボリュームを出しつつより滑らかで自然な仕上がりが期待できます。
※1 MD式とはMinimum-Downtimeの略であり、その名の通り術式や道具などにこだわり抜き、ダウンタイムを極限まで短くするオプションメニューです。
若返り術を最も得意とする大野医師に
何でも相談してくださいね^^
モニター様も募集中です。
皆様のご予約をお待ちしております!!
★instagram絶賛更新中★
【大野医師担当:二重症例のみ】
@sbc_ono_eye
【大野医師担当:エイジングケア症例中心】
@onoshinsuke_sbc
【船橋院公式】
@sbc__funabashi
インスタグラムではリアルタイムで沢山の症例写真や
施術動画をあげています!
≪下の「instagram」アイコンからも飛べます≫