美容外科・美容皮膚科・審美歯科なら湘南美容クリニック
電話予約・電話問い合わせ 10:00~22:45対応 番号を通知してお電話ください 0120-489-100
Instagram
LINE
YouTube
公式アプリ
美容皮膚科
あなたに最適な美容メンテナンスをサポートします!
二重整形
これを見たらあなたも思わず二重にしたくなる♡
医療ダイエット
医療ダイエットをしたらマイナス何センチ?リアルな結果を発信中!
若返り
年齢別・お悩み別で「今やるべき美容医療」がわかる美容医療メディア
クマ取り
クマ取り失敗したくない方必見!成功の秘訣満載★
脂肪吸引
美は武器!夜職女性のための美の総合メディア
予約・お問い合わせ
美容外科 MENU
Language
メインメニュー
診療内容一覧
料金一覧
クリニック案内
ドクター一覧
モニター募集
症例写真
よくある質問
当院が選ばれる理由
当院の症例写真は、画像処理により形や大きさをかえるような処理は一切おこなっておりません。
大野津介 医師
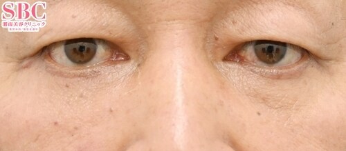
施術前
施術後3ヶ月後
施術した院
部位
施術
施術回数
数量
性別
50代の男性のアイバックリムーブ法(切るクマ取り)+コンデンスリッチフェイス(目の下~ゴルゴ線)の症例になります。施術前・施術後3ヶ月経過したお写真です。大野医師は目の下の切らないクマ・たるみ取りの症例数第2位!(2022年下半期/東京都のぞく関東)「切る」「切らない」お客様にとって最適な方法を提案いたします。【アイバックリムーブ法とは】アイバックリムーブ法は、目の下の余剰皮膚切除&眼窩脂肪除去を行い目袋と皮膚のたるみを改善する方法です。下瞼を支える力が弱い人には、眼輪筋の引き上げ固定や、緩んだ下瞼の短縮手術などが必要です(追加には別途料金がかかります)。下まぶたまつ毛の下の皮膚を切開するので、術後抜糸が必要です。皮膚の切開線はまつ毛の際に隠しますので、お時間が経過すればほとんどわかりません。【コンデンスリッチフェイス法とは】ご自分の脂肪を注入することで、注入箇所にハリと潤いを蘇らせふっくらとして丸みを帯びた健康的な素顔を形成することができます。また採取した脂肪は、遠心分離にかけ、コンデンス(濃縮)技術で不純物を除去健全な濃縮脂肪細胞=コンデンスリッチファット(CRF) だけを注入するため高い定着率を実現し、吸引した脂肪を最大限に活かせる若返り法です。【ナノリッチ法とは】脂肪から極少量しか取れない研ぎ澄まされた良質な幹細胞と小さな脂肪からなる不純物の少ない極小脂肪を、複数の注入口から注入するクリスクロス法で実現する、永続的な効果が期待できるエイジングケア術です。硬い線維質を徹底除去した幹細胞を使用するので、不自然な凹凸が出来にくく、コンデンスリッチと併用することでボリュームを出しつつより滑らかで自然な仕上がりが期待できます。若返り術を最も得意とする大野医師に何でも相談してくださいね^^モニター様も募集中です。皆様のご予約をお待ちしております!!★instagram絶賛更新中★【大野医師担当:エイジングケア症例中心】@onoshinsuke_sbc【大野医師担当:二重症例のみ】@sbc_ono_eye【船橋院公式】@sbc__funabashiインスタグラムではリアルタイムで沢山の症例写真や施術動画をあげています!≪下の「instagram」アイコンからも飛べます≫
施術担当者からのコメント
50代の男性のアイバックリムーブ法(切るクマ取り)+コンデンスリッチフェイス(目の下~ゴルゴ線)の症例になります。
施術前・施術後3ヶ月経過したお写真です。
大野医師は目の下の切らないクマ・たるみ取りの症例数第2位!(2022年下半期/東京都のぞく関東)
「切る」「切らない」お客様にとって最適な方法を提案いたします。
【アイバックリムーブ法とは】
アイバックリムーブ法は、目の下の余剰皮膚切除&眼窩脂肪除去を行い目袋と皮膚のたるみを改善する方法です。
下瞼を支える力が弱い人には、眼輪筋の引き上げ固定や、
緩んだ下瞼の短縮手術などが必要です(追加には別途料金がかかります)。
下まぶたまつ毛の下の皮膚を切開するので、術後抜糸が必要です。
皮膚の切開線はまつ毛の際に隠しますので、お時間が経過すればほとんどわかりません。
【コンデンスリッチフェイス法とは】
ご自分の脂肪を注入することで、注入箇所にハリと潤いを蘇らせ
ふっくらとして丸みを帯びた健康的な素顔を形成することができます。
また採取した脂肪は、遠心分離にかけ、コンデンス(濃縮)技術で不純物を除去
健全な濃縮脂肪細胞=コンデンスリッチファット(CRF) だけを注入するため
高い定着率を実現し、吸引した脂肪を最大限に活かせる若返り法です。
【ナノリッチ法とは】
脂肪から極少量しか取れない研ぎ澄まされた良質な幹細胞と
小さな脂肪からなる不純物の少ない極小脂肪を、
複数の注入口から注入するクリスクロス法で実現する、
永続的な効果が期待できるエイジングケア術です。
硬い線維質を徹底除去した幹細胞を使用するので、不自然な凹凸が出来にくく、
コンデンスリッチと併用することでボリュームを出しつつより滑らかで自然な仕上がりが期待できます。
若返り術を最も得意とする大野医師に
何でも相談してくださいね^^
モニター様も募集中です。
皆様のご予約をお待ちしております!!
★instagram絶賛更新中★
【大野医師担当:エイジングケア症例中心】
@onoshinsuke_sbc
【大野医師担当:二重症例のみ】
@sbc_ono_eye
【船橋院公式】
@sbc__funabashi
インスタグラムではリアルタイムで沢山の症例写真や
施術動画をあげています!
≪下の「instagram」アイコンからも飛べます≫