美容外科・美容皮膚科・審美歯科なら湘南美容クリニック
電話予約・電話問い合わせ 10:00~22:45対応 番号を通知してお電話ください 0120-489-100
Instagram
LINE
YouTube
公式アプリ
美容皮膚科
あなたに最適な美容メンテナンスをサポートします!
二重整形
これを見たらあなたも思わず二重にしたくなる♡
医療ダイエット
医療ダイエットをしたらマイナス何センチ?リアルな結果を発信中!
若返り
年齢別・お悩み別で「今やるべき美容医療」がわかる美容医療メディア
クマ取り
クマ取り失敗したくない方必見!成功の秘訣満載★
脂肪吸引
美は武器!夜職女性のための美の総合メディア
予約・お問い合わせ
美容外科 MENU
Language
メインメニュー
診療内容一覧
料金一覧
クリニック案内
ドクター一覧
モニター募集
症例写真
よくある質問
当院が選ばれる理由
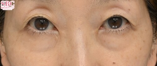
当院の症例写真は、画像処理により形や大きさをかえるような処理は一切おこなっておりません。
福山紘平 医師
施術前
施術後1週間後
施術した院
部位
施術
施術回数
数量
性別
【くまとり】【若返り治療】SBC公式エキスパートドクター 福山紘平にお任せ下さい!症例数が圧倒的に多い私なら切らなくても腫れや内出血が少ない仕上がりが可能です。・お考えに寄り添った提案力・圧倒的解決力・積み上げてきた独自のスキルとセンス・症例からもわかる、腫れや傷跡へのこだわり・MD式による、仕上がりのクオリティーアップと最小ダウンタイム・施術直後から実感できる理想をなかなか形や言葉にできないお客様からも、お好みの傾向を引き出すカウンセリングを大変得意としております。くまの種類は人によって変わります。あなたの悩みや症状によって最適な治療方法をご提案いたしますのでお気軽にご相談ください!
施術担当者からのコメント
【くまとり】【若返り治療】SBC公式エキスパートドクター 福山紘平にお任せ下さい!
症例数が圧倒的に多い私なら切らなくても腫れや内出血が少ない仕上がりが可能です。
・お考えに寄り添った提案力
・圧倒的解決力
・積み上げてきた独自のスキルとセンス
・症例からもわかる、腫れや傷跡へのこだわり
・MD式による、仕上がりのクオリティーアップと最小ダウンタイム
・施術直後から実感できる
理想をなかなか形や言葉にできないお客様からも、お好みの傾向を引き出すカウンセリングを大変得意としております。
くまの種類は人によって変わります。
あなたの悩みや症状によって最適な治療方法をご提案いたしますのでお気軽にご相談ください!