お急ぎの方はお電話ください
WEB予約
メンズ専用
LINE登録
オンラインストア
SBC公式アプリ
SBC 採用サイト
医療機関検索サイトアイメッド
定額制セルフエステ
当院の症例写真は、画像処理により形や大きさをかえるような処理は一切おこなっておりません。
菅原佑太 医師
施術前
施術後1ヶ月後
施術した院
部位
施術
施術回数
数量
性別
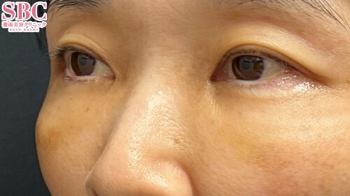
50代女性。目の下のふくらみが気になっており、カウンセリングを受けられました。ゴルゴラインの凹みも強く、しわの悪化のリスクも高かった為、脱脂術に加え、脂肪注入(コンデンスリッチフェイス目の下〜ゴルゴ)を行いました。ふくらみ、凹みが改善し、周りからも、明るくなった、若くなったといわれたそうで、大変喜んでいただけました。取る脂肪と、入れる脂肪は、部位が異なるため、どちらかのみで良い方もいますが、多くの方は、両方の施術を併用することで、より綺麗な目元になっていきます。皮膚のたるみ具合や、気になる色味によっては、ほかの施術をご案内することもあります。1週間の時点ではまだ内出血がありましたが、1ヶ月も経つとなくなっています。張りのある目元になっています。手術お疲れさまでした!
前後3日(手術日は含まず)、自覚する副反応がなければ可安心麻酔を使用するものは接種後1週間は空ける
前後1週間副反応が残っている場合は延期接種部位と手術部位が同じ場合は2週間は空ける
施術担当者からのコメント
50代女性。目の下のふくらみが気になっており、カウンセリングを受けられました。ゴルゴラインの凹みも強く、しわの悪化のリスクも高かった為、脱脂術に加え、脂肪注入(コンデンスリッチフェイス目の下〜ゴルゴ)を行いました。ふくらみ、凹みが改善し、周りからも、明るくなった、若くなったといわれたそうで、大変喜んでいただけました。取る脂肪と、入れる脂肪は、部位が異なるため、どちらかのみで良い方もいますが、多くの方は、両方の施術を併用することで、より綺麗な目元になっていきます。皮膚のたるみ具合や、気になる色味によっては、ほかの施術をご案内することもあります。1週間の時点ではまだ内出血がありましたが、1ヶ月も経つとなくなっています。張りのある目元になっています。手術お疲れさまでした!