美容外科・美容皮膚科・審美歯科なら湘南美容クリニック
電話予約・電話問い合わせ 10:00~22:45対応 番号を通知してお電話ください 0120-489-100
Instagram
LINE
YouTube
公式アプリ
美容皮膚科
あなたに最適な美容メンテナンスをサポートします!
二重整形
これを見たらあなたも思わず二重にしたくなる♡
医療ダイエット
医療ダイエットをしたらマイナス何センチ?リアルな結果を発信中!
若返り
年齢別・お悩み別で「今やるべき美容医療」がわかる美容医療メディア
クマ取り
クマ取り失敗したくない方必見!成功の秘訣満載★
脂肪吸引
美は武器!夜職女性のための美の総合メディア
予約・お問い合わせ
美容外科 MENU
Language
メインメニュー
診療内容一覧
料金一覧
クリニック案内
ドクター一覧
モニター募集
症例写真
よくある質問
当院が選ばれる理由
当院の症例写真は、画像処理により形や大きさをかえるような処理は一切おこなっておりません。
澁川直彦 医師
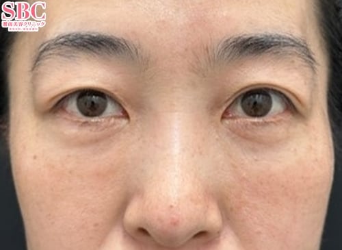
施術前
施術後1ヶ月後
施術した院
部位
施術
施術回数
数量
性別
今回は加齢とともに変化した目元に対してコンデンスリッチフェイス術を併用した切らないクマ・たるみ取り治療により目元の若返りを行いました。目元が変わると顔全体が若返った印象となります。目元は20代から60代を超えてどの世代の方も気になる部分かと思います。単純な脂肪取りだけでなく目元を輪郭の一部と考えて綺麗な目元を形成する情熱を持って手術を行っております。施術を組み合わせて行うことで張りのある若々しい目元へ導きます。目元でお悩みを抱えている方は一度無料カウンセリングにお越しください。形成外科専門医である私がご希望に応じて最適な施術をご提案させていただきます。Instagramにも目元の症例写真やお得なモニター情報をたくさんアップしておりますので是非チェックしてください!https://www.instagram.com/sbc_shibukawa/私が目元整形で選ばれる理由・形成外科専門医として培った経験と技術力で一人一人に似合うデザインの提案を行います。・手術前のデザインは妥協なく時間をかけて丁寧に行います。・埋没法以外にも全切開二重術や眼瞼下垂、眉下リフト、クマ治療など目周りの手術を得意としております。
施術担当者からのコメント
今回は加齢とともに変化した目元に対してコンデンスリッチフェイス術を併用した切らないクマ・たるみ取り治療により目元の若返りを行いました。目元が変わると顔全体が若返った印象となります。目元は20代から60代を超えてどの世代の方も気になる部分かと思います。単純な脂肪取りだけでなく目元を輪郭の一部と考えて綺麗な目元を形成する情熱を持って手術を行っております。施術を組み合わせて行うことで張りのある若々しい目元へ導きます。
目元でお悩みを抱えている方は一度無料カウンセリングにお越しください。
形成外科専門医である私がご希望に応じて最適な施術をご提案させていただきます。
Instagramにも目元の症例写真やお得なモニター情報をたくさんアップしておりますので是非チェックしてください!https://www.instagram.com/sbc_shibukawa/
私が目元整形で選ばれる理由
・形成外科専門医として培った経験と技術力で一人一人に似合うデザインの提案を行います。
・手術前のデザインは妥協なく時間をかけて丁寧に行います。
・埋没法以外にも全切開二重術や眼瞼下垂、眉下リフト、クマ治療など目周りの手術を得意としております。