美容外科・美容皮膚科・審美歯科なら湘南美容クリニック
電話予約・電話問い合わせ 10:00~22:45対応 番号を通知してお電話ください 0120-489-100
Instagram
LINE
YouTube
公式アプリ
美容皮膚科
あなたに最適な美容メンテナンスをサポートします!
二重整形
これを見たらあなたも思わず二重にしたくなる♡
医療ダイエット
医療ダイエットをしたらマイナス何センチ?リアルな結果を発信中!
若返り
年齢別・お悩み別で「今やるべき美容医療」がわかる美容医療メディア
クマ取り
クマ取り失敗したくない方必見!成功の秘訣満載★
脂肪吸引
美は武器!夜職女性のための美の総合メディア
予約・お問い合わせ
美容外科 MENU
Language
メインメニュー
診療内容一覧
料金一覧
クリニック案内
ドクター一覧
モニター募集
症例写真
よくある質問
当院が選ばれる理由
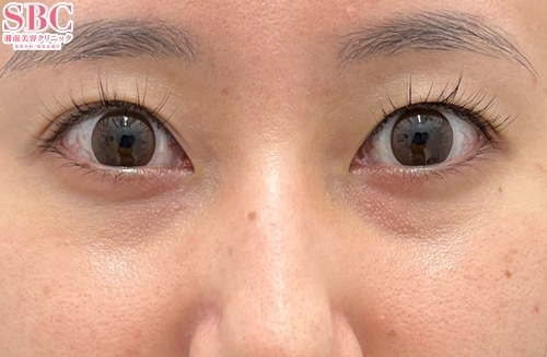
当院の症例写真は、画像処理により形や大きさをかえるような処理は一切おこなっておりません。
檜山和弘 医師
施術前
施術後1ヶ月後
施術した院
部位
施術
施術回数
数量
性別
【元小児心臓血管外科医の精緻な技術】「美と若返りのスペシャリスト」Dr.ルークひのき印象が明るく、自然な若返り「目の下のクマ治療!」【裏ハムラ+糸リフト】=【ハムラリフト】目の下の脂肪をとらずに移動させてクマを解決!その後、糸リフトで中顔面を引き上げ癒着をサポート!【クマ改善】&【チークUP】両方が目指せます★クマの再発予防に最適な治療です!★こだわりPOINT★1. 繊細で丁寧な外科手技!元心臓血管外科専門医で数多くの小児心臓手術を経験してきた高い外科技術を用いて、最小限の腫れと内出血を実現します。2. ナチュラルな仕上がり!脂肪をきちんと綺麗に剥がす技術、また骨膜にしっかりと糸をかける技術にこだわりを持って行っています。3. 痛みが最小限!麻酔時に局所麻酔と神経ブロックを併用し、痛みを最小限に抑えます。4. ダウンタイムが最小限!施術時間は目の下の切らないクマ・たるみ(ふくらみ)取りのみだと約15分以内、脂肪注入を含めても40分以内なので、最小限のダウンタイムを実現します。……………………………………………【檜山院長の実績】★SBCで唯一の元心臓血管外科専門医医師歴26年の信頼と実績がある★アンチエイジング専門医資格あり!★2022年下半期 糸リフト SBC内 全国No.2!(2022年7〜12月SBC内)★2022年下半期 切開ハムラ SBC内 全国No.2!(2022年7〜12月SBC内)★2022年下半期 美容針 SBC内 東京エリアNo.3! (2022年7〜12月SBC内)★2022年下半期 裏ハムラ SBC内 東京エリアNo.3!(2022年7〜12月SBC内) ……………………………………………★檜山医師専用Instagramもご覧くださいInstagram:sbc_hinokiyama
施術担当者からのコメント
【元小児心臓血管外科医の精緻な技術】
「美と若返りのスペシャリスト」Dr.ルークひのき
印象が明るく、自然な若返り「目の下のクマ治療!」
【裏ハムラ+糸リフト】=【ハムラリフト】
目の下の脂肪をとらずに移動させてクマを解決!
その後、糸リフトで中顔面を引き上げ癒着をサポート!
【クマ改善】&【チークUP】両方が目指せます★
クマの再発予防に最適な治療です!
★こだわりPOINT★
1. 繊細で丁寧な外科手技!
元心臓血管外科専門医で数多くの小児心臓手術を経験してきた高い外科技術を用いて、最小限の腫れと内出血を実現します。
2. ナチュラルな仕上がり!
脂肪をきちんと綺麗に剥がす技術、
また骨膜にしっかりと糸をかける技術にこだわりを持って行っています。
3. 痛みが最小限!
麻酔時に局所麻酔と神経ブロックを併用し、痛みを最小限に抑えます。
4. ダウンタイムが最小限!
施術時間は目の下の切らないクマ・たるみ(ふくらみ)取りのみだと約15分以内、脂肪注入を含めても40分以内なので、最小限のダウンタイムを実現します。
……………………………………………
【檜山院長の実績】
★SBCで唯一の元心臓血管外科専門医医師歴26年の信頼と実績がある
★アンチエイジング専門医資格あり!
★2022年下半期 糸リフト SBC内 全国No.2!(2022年7〜12月SBC内)
★2022年下半期 切開ハムラ SBC内 全国No.2!(2022年7〜12月SBC内)
★2022年下半期 美容針 SBC内 東京エリアNo.3! (2022年7〜12月SBC内)
★2022年下半期 裏ハムラ SBC内 東京エリアNo.3!(2022年7〜12月SBC内)
……………………………………………
★檜山医師専用Instagramもご覧ください
Instagram:sbc_hinokiyama