美容外科・美容皮膚科・審美歯科なら湘南美容クリニック
電話予約・電話問い合わせ 10:00~22:45対応 番号を通知してお電話ください 0120-489-100
Instagram
LINE
YouTube
公式アプリ
美容皮膚科
あなたに最適な美容メンテナンスをサポートします!
二重整形
これを見たらあなたも思わず二重にしたくなる♡
医療ダイエット
医療ダイエットをしたらマイナス何センチ?リアルな結果を発信中!
若返り
年齢別・お悩み別で「今やるべき美容医療」がわかる美容医療メディア
クマ取り
クマ取り失敗したくない方必見!成功の秘訣満載★
脂肪吸引
美は武器!夜職女性のための美の総合メディア
予約・お問い合わせ
美容外科 MENU
Language
メインメニュー
診療内容一覧
料金一覧
クリニック案内
ドクター一覧
モニター募集
症例写真
よくある質問
当院が選ばれる理由
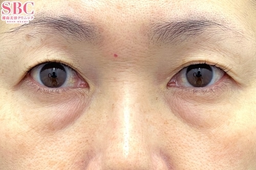
当院の症例写真は、画像処理により形や大きさをかえるような処理は一切おこなっておりません。
金沢豪 医師
施術前
施術後1ヶ月後
施術した院
部位
施術
施術回数
数量
性別
45歳女性今回行ったオペはクマ治療最高難易度の<切開ハムラ法>という、眼窩脂肪を取らずに目の下に移動、固定させる事で脂肪注入無しでクマの改善ができる治療です◎睫毛の生え際を切開し、皮膚の余剰切除も行います^_^また、高難易度処置である<眼輪筋弁吊り上げ>は基本的に同時に行います。今回のナノリッチ(脂肪幹細胞注入)は無くても良いですが、あったほうがより皮膚にハリが出て色味も改善するのでおすすめです。-----【超スゴ腕ドクターの圧倒的症例数】切るクマ治療<アイバックリムーブ>症例数全国No.1(SBC2023年上半期)切らないクマ治療<目の下の切らないクマたるみ取り>症例数中四国No.2(SBC2023年上半期)若返り<お顔の脂肪注入>西日本No.1(SBC2022年下半期)■表から?何故わざわざその必要が?瞼の裏から行うクマ取りはあくまで皮膚のたるみが少ない事が前提であり、皮膚のたるみが多い方は皮膚も切除しないと逆に皮膚のシワが増えたり、改善が乏しいケースもあります。年齢的には40歳?50歳以降の方で皮膚のたるみが強い方や膨らみが強い方は適応になります。■傷跡について僕の切開ラインはまつ毛の生え際なのでまずバレません^_^ダウンタイムもむしろ皮膚切除した方のほうが軽い気がしています^_^※皮膚は取りすぎると外反するので要注意ですが、切除量を守るとまず大丈夫です◎ただこの手術は難易度も高く、そもそもオペをできる医師が少なくなり情報も発信も少なくなる傾向にあるかと思います。「まぶたの裏から脂肪とりましょう。2個より3個取った方がいいですよ。」という安易な案内は極めて稚拙と感じています。私はクマ治療を全て行える数少ない美容外科医であり、経結膜脱脂、脂肪注入、裏ハムラ、アイバックリムーブ、切開ハムラ、眼輪筋弁吊り上げ、修正手術までクマ治療を全てご案内可能です◎私は適応を見極め、最適なご案内をしております!※ちなみに、茶クマ(色素沈着)は完全には消えません><・目の下を触らない・擦らない・紫外線避ける・保湿この3つが大切です。もちろん、怖くて切りたくない方は切らずにできるだけ綺麗にする事も可能なので、是非ご相談ください。
施術担当者からのコメント
45歳女性
今回行ったオペはクマ治療最高難易度の<切開ハムラ法>という、眼窩脂肪を取らずに目の下に移動、固定させる事で脂肪注入無しでクマの改善ができる治療です◎
睫毛の生え際を切開し、皮膚の余剰切除も行います^_^
また、高難易度処置である<眼輪筋弁吊り上げ>は基本的に同時に行います。
今回のナノリッチ(脂肪幹細胞注入)は無くても良いですが、あったほうがより皮膚にハリが出て色味も改善するのでおすすめです。
-----
【超スゴ腕ドクターの圧倒的症例数】
切るクマ治療<アイバックリムーブ>症例数全国No.1(SBC2023年上半期)
切らないクマ治療<目の下の切らないクマたるみ取り>症例数中四国No.2(SBC2023年上半期)
若返り<お顔の脂肪注入>西日本No.1(SBC2022年下半期)
■表から?何故わざわざその必要が?
瞼の裏から行うクマ取りはあくまで皮膚のたるみが少ない事が前提であり、皮膚のたるみが多い方は皮膚も切除しないと逆に皮膚のシワが増えたり、改善が乏しいケースもあります。
年齢的には40歳?50歳以降の方で皮膚のたるみが強い方や膨らみが強い方は適応になります。
■傷跡について
僕の切開ラインはまつ毛の生え際なのでまずバレません^_^
ダウンタイムもむしろ皮膚切除した方のほうが軽い気がしています^_^
※皮膚は取りすぎると外反するので要注意ですが、切除量を守るとまず大丈夫です◎
ただこの手術は難易度も高く、そもそもオペをできる医師が少なくなり情報も発信も少なくなる傾向にあるかと思います。
「まぶたの裏から脂肪とりましょう。2個より3個取った方がいいですよ。」という安易な案内は極めて稚拙と感じています。
私はクマ治療を全て行える数少ない美容外科医であり、
経結膜脱脂、脂肪注入、裏ハムラ、アイバックリムーブ、切開ハムラ、眼輪筋弁吊り上げ、修正手術までクマ治療を全てご案内可能です◎
私は適応を見極め、最適なご案内をしております!
※ちなみに、茶クマ(色素沈着)は完全には消えません><
・目の下を触らない・擦らない
・紫外線避ける
・保湿
この3つが大切です。
もちろん、怖くて切りたくない方は切らずにできるだけ綺麗にする事も可能なので、是非ご相談ください。