美容外科・美容皮膚科・審美歯科なら湘南美容クリニック
電話予約・電話問い合わせ 10:00~22:45対応 番号を通知してお電話ください 0120-489-100
Instagram
LINE
YouTube
公式アプリ
美容皮膚科
あなたに最適な美容メンテナンスをサポートします!
二重整形
これを見たらあなたも思わず二重にしたくなる♡
医療ダイエット
医療ダイエットをしたらマイナス何センチ?リアルな結果を発信中!
若返り
年齢別・お悩み別で「今やるべき美容医療」がわかる美容医療メディア
クマ取り
クマ取り失敗したくない方必見!成功の秘訣満載★
脂肪吸引
美は武器!夜職女性のための美の総合メディア
予約・お問い合わせ
美容外科 MENU
Language
メインメニュー
診療内容一覧
料金一覧
クリニック案内
ドクター一覧
モニター募集
症例写真
よくある質問
当院が選ばれる理由
当院の症例写真は、画像処理により形や大きさをかえるような処理は一切おこなっておりません。
菅原佑太 医師
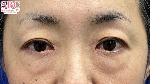
施術前
施術後3ヶ月後
施術した院
部位
施術
施術回数
数量
性別
40代女性 まぶたのたるみと目の下のふくらみが気になるとカウンセリングを受けられました。まぶたのたるみに対しては眉下リフト、目の下のふくらみは、ゴルゴラインの凹みもあり、さらにはたるみ・しわのリスクも高かったため、経結膜脱脂術に加え、脂肪注入(コンデンスリッチフェイス目の下〜ゴルゴ)の施術を行いました。取る脂肪と、入れる脂肪は、部位が異なるため、どちらかのみで良い方もいますが、多くの方は、両方の施術を併用することで、より綺麗な目元になっていきます。注入する脂肪は、定着率のよい太もも内側の脂肪を使用しました。皮膚のたるみ具合や、気になる色味によっては、ほかの施術をご案内することもあります。たるみ・しわをより少なくしたい場合は、皮膚切開の併用が望ましいです。術後1週間の時点では、まだ内出血、腫れが目立ちますが、術前と比べ、目元が大きく若返っているのがわかります。より時間が経つと、腫れが引き、赤みも落ち着いてきます。月単位にはなりますが、よりきれいな目元になっていきます。3か月も経つと、私の施術であればかなり傷は目立ちにくくなることが多いです。心臓血管外科時代から、切開、糸の縫い方にはこだわりをもってきました。一つの運針のミスが命に直結する、そういう世界で戦ってきました。その知識、技術を注ぎ込んで、満足いただける施術を提供しています。ぜひ瞼のたるみのカウンセリングにいらしてください。必要があれば、他の施術のご案内もできます。お待ちしています。
施術担当者からのコメント
40代女性 まぶたのたるみと目の下のふくらみが気になるとカウンセリングを受けられました。まぶたのたるみに対しては眉下リフト、目の下のふくらみは、ゴルゴラインの凹みもあり、さらにはたるみ・しわのリスクも高かったため、経結膜脱脂術に加え、脂肪注入(コンデンスリッチフェイス目の下〜ゴルゴ)の施術を行いました。取る脂肪と、入れる脂肪は、部位が異なるため、どちらかのみで良い方もいますが、多くの方は、両方の施術を併用することで、より綺麗な目元になっていきます。注入する脂肪は、定着率のよい太もも内側の脂肪を使用しました。皮膚のたるみ具合や、気になる色味によっては、ほかの施術をご案内することもあります。たるみ・しわをより少なくしたい場合は、皮膚切開の併用が望ましいです。術後1週間の時点では、まだ内出血、腫れが目立ちますが、術前と比べ、目元が大きく若返っているのがわかります。より時間が経つと、腫れが引き、赤みも落ち着いてきます。月単位にはなりますが、よりきれいな目元になっていきます。3か月も経つと、私の施術であればかなり傷は目立ちにくくなることが多いです。心臓血管外科時代から、切開、糸の縫い方にはこだわりをもってきました。一つの運針のミスが命に直結する、そういう世界で戦ってきました。その知識、技術を注ぎ込んで、満足いただける施術を提供しています。ぜひ瞼のたるみのカウンセリングにいらしてください。必要があれば、他の施術のご案内もできます。お待ちしています。