美容外科・美容皮膚科・審美歯科なら湘南美容クリニック
電話予約・電話問い合わせ 10:00~22:45対応 番号を通知してお電話ください 0120-489-100
Instagram
LINE
YouTube
公式アプリ
美容皮膚科
あなたに最適な美容メンテナンスをサポートします!
二重整形
これを見たらあなたも思わず二重にしたくなる♡
医療ダイエット
医療ダイエットをしたらマイナス何センチ?リアルな結果を発信中!
若返り
年齢別・お悩み別で「今やるべき美容医療」がわかる美容医療メディア
クマ取り
クマ取り失敗したくない方必見!成功の秘訣満載★
脂肪吸引
美は武器!夜職女性のための美の総合メディア
予約・お問い合わせ
美容外科 MENU
Language
メインメニュー
診療内容一覧
料金一覧
クリニック案内
ドクター一覧
モニター募集
症例写真
よくある質問
当院が選ばれる理由
当院の症例写真は、画像処理により形や大きさをかえるような処理は一切おこなっておりません。
岩本理雨 医師
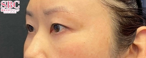
施術前
施術後3ヶ月後
施術した院
部位
施術
施術回数
数量
性別
目元の印象で見た目年齢が大きく変わります。目元のクマが気になるとお悩みの40代の方。ゴルゴラインも同時に改善するため、脱脂のみではなく、脂肪注入併用で凹みを埋めています。術後3ヶ月でふくらみ、凹みをなくし、明るい目元に改善できています。また、同時に眉下リフトを行うことで、目の上のたるみもすっきりに。たるみで隠れた二重が元通りに若々しい仕上がりとなっています。美容クリニックの敷居はまだまだ高いと思います。勇気を出して一歩踏み出してこられたお客様には、カウンセリングから手術、術後まで誠実な対応をお約束します。ご希望の施術が決まっている方も、なんとなく漠然としたお悩みがある方も、まずは気軽にお喋りしに来てください。もし術後で気になること・心配なことがある方がいましたら遠慮なくご連絡下さい。岩本理雨
施術担当者からのコメント
目元の印象で見た目年齢が大きく変わります。
目元のクマが気になるとお悩みの40代の方。
ゴルゴラインも同時に改善するため、脱脂のみではなく、脂肪注入併用で凹みを埋めています。
術後3ヶ月でふくらみ、凹みをなくし、明るい目元に改善できています。
また、同時に眉下リフトを行うことで、目の上のたるみもすっきりに。
たるみで隠れた二重が元通りに若々しい仕上がりとなっています。
美容クリニックの敷居はまだまだ高いと思います。勇気を出して一歩踏み出してこられたお客様には、カウンセリングから手術、術後まで誠実な対応をお約束します。
ご希望の施術が決まっている方も、なんとなく漠然としたお悩みがある方も、まずは気軽にお喋りしに来てください。
もし術後で気になること・心配なことがある方がいましたら遠慮なくご連絡下さい。
岩本理雨