美容外科・美容皮膚科・審美歯科なら湘南美容クリニック
電話予約・電話問い合わせ 10:00~22:45対応 番号を通知してお電話ください 0120-489-100
Instagram
LINE
YouTube
公式アプリ
美容皮膚科
あなたに最適な美容メンテナンスをサポートします!
二重整形
これを見たらあなたも思わず二重にしたくなる♡
医療ダイエット
医療ダイエットをしたらマイナス何センチ?リアルな結果を発信中!
若返り
年齢別・お悩み別で「今やるべき美容医療」がわかる美容医療メディア
クマ取り
クマ取り失敗したくない方必見!成功の秘訣満載★
脂肪吸引
美は武器!夜職女性のための美の総合メディア
予約・お問い合わせ
美容外科 MENU
Language
メインメニュー
診療内容一覧
料金一覧
クリニック案内
ドクター一覧
モニター募集
症例写真
よくある質問
当院が選ばれる理由
当院の症例写真は、画像処理により形や大きさをかえるような処理は一切おこなっておりません。
山下昭悟 医師
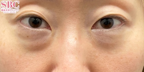
施術前
施術後1ヶ月後
施術した院
部位
施術
施術回数
数量
性別
ご覧いただきありがとうございます!▲▽クマ取りバスター山下院長のクマ治療△▼40代女性のモニター様の症例です。【裏ハムラ法】→お目元の眼窩脂肪を平らになるように動かして凹凸を改善する治療です。【ナノリッチ脂肪注入】→脂肪を移動するだけでは改善しにくいくぼみ、色味を改善する治療です。・実年齢より老けてみられる・疲れて見られることが多い・メイクをしてもなんかパッとしない・顔色が暗く見えるそんな方は目の下のクマが原因かもしれません…!どの治療が適応か分からない方もお気軽に無料カウンセリングへお越しください^^湘南美容クリニック藤沢院でお待ちしております!=======================インスタグラムにも多数症例載せてます!ぜひ覗いてみてください★Instagram:「@sbc_yamashita」で検索!=======================
施術担当者からのコメント
ご覧いただきありがとうございます!
▲▽クマ取りバスター山下院長のクマ治療△▼
40代女性のモニター様の症例です。
【裏ハムラ法】
→お目元の眼窩脂肪を平らになるように動かして凹凸を改善する治療です。
【ナノリッチ脂肪注入】
→脂肪を移動するだけでは改善しにくいくぼみ、色味を改善する治療です。
・実年齢より老けてみられる
・疲れて見られることが多い
・メイクをしてもなんかパッとしない
・顔色が暗く見える
そんな方は目の下のクマが原因かもしれません…!
どの治療が適応か分からない方もお気軽に
無料カウンセリングへお越しください^^
湘南美容クリニック藤沢院でお待ちしております!
=======================
インスタグラムにも多数症例載せてます!
ぜひ覗いてみてください★
Instagram:「@sbc_yamashita」で検索!
=======================