美容外科・美容皮膚科・審美歯科なら湘南美容クリニック
電話予約・電話問い合わせ 10:00~22:45対応 番号を通知してお電話ください 0120-489-100
Instagram
LINE
YouTube
公式アプリ
美容皮膚科
あなたに最適な美容メンテナンスをサポートします!
二重整形
これを見たらあなたも思わず二重にしたくなる♡
医療ダイエット
医療ダイエットをしたらマイナス何センチ?リアルな結果を発信中!
若返り
年齢別・お悩み別で「今やるべき美容医療」がわかる美容医療メディア
クマ取り
クマ取り失敗したくない方必見!成功の秘訣満載★
脂肪吸引
美は武器!夜職女性のための美の総合メディア
予約・お問い合わせ
美容外科 MENU
Language
メインメニュー
診療内容一覧
料金一覧
クリニック案内
ドクター一覧
モニター募集
症例写真
よくある質問
当院が選ばれる理由
当院の症例写真は、画像処理により形や大きさをかえるような処理は一切おこなっておりません。
大野津介 医師
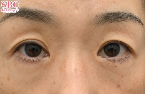
施術前
施術後3ヶ月後
施術した院
部位
施術
施術回数
数量
性別
こちらのお客様は眉下リフトをお受けになりました。施術前・施術後3ヶ月が経過したお写真です。【眉下リフトとは】眉下の余剰皮膚を除去することで、 目元の自然な印象は変えずに上眼瞼のたるみが改善します。眉の下のラインぎりぎりを切開するので腫れや傷が目立ちません。*眉下リフトが人気の理由*?埋没法二重術と比べラインが格段に取れにくい?まぶたが厚く埋没法が難しい人でも二重が作れる?超幅広の二重も可能*こんな方におすすめ*?加齢により瞼がたるみ三角目になっている方?上眼瞼が厚く腫れぼったい方?本来の二重のラインがたるみで見えなくなってしまっている方?一重や奥二重のまま、たるみだけを改善したい方?瞼のたるみが気になるが、ダウンタイムや傷を最小限にしたい方?眉と瞼の間が広く、目尻が下がって見える方★instagram絶賛更新中★【船橋院公式】@sbc__funabashiインスタグラムではリアルタイムで沢山の症例写真や施術動画をあげています!≪下の「instagram」アイコンからも飛べます≫
施術担当者からのコメント
こちらのお客様は眉下リフトをお受けになりました。
施術前・施術後3ヶ月が経過したお写真です。
【眉下リフトとは】
眉下の余剰皮膚を除去することで、 目元の自然な印象は変えずに上眼瞼のたるみが改善します。
眉の下のラインぎりぎりを切開するので腫れや傷が目立ちません。
*眉下リフトが人気の理由*
?埋没法二重術と比べラインが格段に取れにくい
?まぶたが厚く埋没法が難しい人でも二重が作れる
?超幅広の二重も可能
*こんな方におすすめ*
?加齢により瞼がたるみ三角目になっている方
?上眼瞼が厚く腫れぼったい方
?本来の二重のラインがたるみで見えなくなってしまっている方
?一重や奥二重のまま、たるみだけを改善したい方
?瞼のたるみが気になるが、ダウンタイムや傷を最小限にしたい方
?眉と瞼の間が広く、目尻が下がって見える方
★instagram絶賛更新中★
【船橋院公式】
@sbc__funabashi
インスタグラムではリアルタイムで沢山の症例写真や
施術動画をあげています!
≪下の「instagram」アイコンからも飛べます≫