症例写真(No.325339)

当院の症例写真は、画像処理により形や大きさをかえるような処理は一切おこなっておりません。

菅原佑太 医師

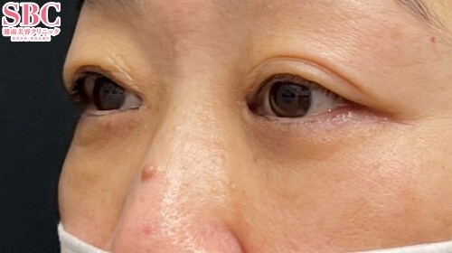
No.325339【若返り】【術前→1ヶ月】40代女性 目の下のクマ取りならDr.菅原にお任せ下さい!

施術前

目の下のふくらみで来院されました
→

施術後1ヶ月後

膨らみが解消され、綺麗な目元になりました
すべての画像を見る

施術した院

部位

施術

施術回数

数量

性別

関連症例写真

1か月後
術前

施術担当者からのコメント

40代女性。目の下のふくらみがあり、疲れて見られるのが気になっていました。ゴルゴラインの凹みもあり、脂肪注入の併用、さらにはシワ改善のためにアイバックリムーブなどの、皮膚切除を伴うクマ治療が望ましかったですが、本人の希望で、脱脂術のみで施術させていただきました。取る脂肪と、入れる脂肪は、部位が異なるため、どちらかのみで良い方もいますが、多くの方は、両方の施術を併用することで、より綺麗な目元になっていきます。たるみの具合や、気になる色味によっては、ほかの施術をご案内することもあります。1ヶ月が経ち、きれいな目元になっています。手術お疲れさまでした!



×

当院におけるワクチン接種後の治療間隔(ガイドライン)

美容皮膚科、美容外科小手術

前後3日(手術日は含まず)、自覚する副反応がなければ可
安心麻酔を使用するものは接種後1週間は空ける

美容外科中、大手術

前後1週間
副反応が残っている場合は延期
接種部位と手術部位が同じ場合は2週間は空ける

×

お急ぎの方はお電話ください

0120-489-100

受付時間 / 10:00~23:00